Antibody data
- Antibody Data
- Antigen structure
- References [0]
- Comments [0]
- Validations
- Western blot [1]
- Immunohistochemistry [6]
Submit
Validation data
Reference
Comment
Report error
- Product number
- NBP1-83641 - Provider product page 
- Provider
- Novus Biologicals
- Proper citation
- Novus Cat#NBP1-83641, RRID:AB_11033513
- Product name
- Rabbit Polyclonal TRMT61B Antibody
- Antibody type
- Polyclonal
- Description
- Immunogen affinity purified. Specificity of human TRMT61B antibody verified on a Protein Array containing target protein plus 383 other non-specific proteins.
- Reactivity
- Human
- Host
- Rabbit
- Isotype
- IgG
- Vial size
- 0.1 ml
- Storage
- Store at 4C short term. Aliquot and store at -20C long term. Avoid freeze-thaw cycles.
				No comments: Submit comment	
	
			
							
					Supportive validation
					
									
				
				- Submitted by
- Novus Biologicals (provider)
- Main image
 
- Experimental details
- Western Blot: TRMT61B Antibody [NBP1-83641] - Analysis in control (vector only transfected HEK293T lysate) and TRMT61B over-expression lysate (Co-expressed with a C-terminal myc-DDK tag (3.1 kDa) in mammalian HEK293T cells).
							
					Supportive validation
					
									
				
		- Submitted by
- Novus Biologicals (provider)
- Main image
 
- Experimental details
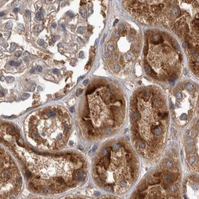
- Immunohistochemistry-Paraffin: TRMT61B Antibody [NBP1-83641] - Staining of human kidney shows strong cytoplasmic positivity in tubule cells.
- Submitted by
- Novus Biologicals (provider)
- Main image
 
- Experimental details
- Immunohistochemistry-Paraffin: TRMT61B Antibody [NBP1-83641] - Staining of human cerebral cortex, kidney, liver and lymph node using Anti-TRMT61B antibody NBP1-83641 (A) shows similar protein distribution across tissues to independent antibody NBP1-83640 (B).
- Submitted by
- Novus Biologicals (provider)
- Main image
 
- Experimental details
- Immunohistochemistry-Paraffin: TRMT61B Antibody [NBP1-83641] - Staining of human kidney.
- Submitted by
- Novus Biologicals (provider)
- Main image
 
- Experimental details
- Immunohistochemistry-Paraffin: TRMT61B Antibody [NBP1-83641] - Staining of human lymph node.
- Submitted by
- Novus Biologicals (provider)
- Main image
 
- Experimental details
- Immunohistochemistry-Paraffin: TRMT61B Antibody [NBP1-83641] - Staining of human cerebral cortex.
- Submitted by
- Novus Biologicals (provider)
- Main image
 
- Experimental details
- Immunohistochemistry-Paraffin: TRMT61B Antibody [NBP1-83641] - Staining of human liver.