Antibody data
- Antibody Data
- Antigen structure
- References [1]
- Comments [0]
- Validations
- Western blot [1]
- Immunohistochemistry [4]
Submit
Validation data
Reference
Comment
Report error
- Product number
- NBP1-83202 - Provider product page

- Provider
- Novus Biologicals
- Proper citation
- Novus Cat#NBP1-83202, RRID:AB_11038943
- Product name
- Rabbit Polyclonal HGS Antibody
- Antibody type
- Polyclonal
- Description
- Immunogen affinity purified. Specificity of human HGS antibody verified on a Protein Array containing target protein plus 383 other non-specific proteins.
- Reactivity
- Human
- Host
- Rabbit
- Isotype
- IgG
- Vial size
- 0.1 ml
- Storage
- Store at 4C short term. Aliquot and store at -20C long term. Avoid freeze-thaw cycles.
Submitted references T cell receptor (TCR)-induced tyrosine phosphorylation dynamics identifies THEMIS as a new TCR signalosome component.
Brockmeyer C, Paster W, Pepper D, Tan CP, Trudgian DC, McGowan S, Fu G, Gascoigne NR, Acuto O, Salek M
The Journal of biological chemistry 2011 Mar 4;286(9):7535-47
The Journal of biological chemistry 2011 Mar 4;286(9):7535-47
No comments: Submit comment
Supportive validation
- Submitted by
- Novus Biologicals (provider)
- Main image

- Experimental details
- Western Blot: HGS Antibody [NBP1-83202] - Analysis in control (vector only transfected HEK293T lysate) and HGS over-expression lysate (Co-expressed with a C-terminal myc-DDK tag (3.1 kDa) in mammalian HEK293T cells).
Supportive validation
- Submitted by
- Novus Biologicals (provider)
- Main image

- Experimental details
- Immunohistochemistry-Paraffin: HGS Antibody [NBP1-83202] - Staining of human skeletal muscle shows no positivity in myocytes as expected.
- Submitted by
- Novus Biologicals (provider)
- Main image

- Experimental details
- Immunohistochemistry-Paraffin: HGS Antibody [NBP1-83202] - Staining of human tonsil shows moderate cytoplasmic positivity in germinal center cells.
- Submitted by
- Novus Biologicals (provider)
- Main image

- Experimental details
- Immunohistochemistry-Paraffin: HGS Antibody [NBP1-83202] - Staining of human cerebral cortex shows moderate positivity in neuropil.
- Submitted by
- Novus Biologicals (provider)
- Main image

- Experimental details
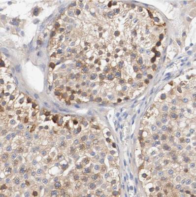
- Immunohistochemistry-Paraffin: HGS Antibody [NBP1-83202] - Staining of human testis shows moderate cytoplasmic positivity in cells in seminiferous ducts.