Antibody data
- Antibody Data
- Antigen structure
- References [37]
- Comments [0]
- Validations
- Western blot [1]
- Immunohistochemistry [2]
Submit
Validation data
Reference
Comment
Report error
- Product number
- 13884-1-AP - Provider product page

- Provider
- Proteintech Group
- Proper citation
- Proteintech Cat#13884-1-AP, RRID:AB_2188522
- Product name
- NKCC1,SLC12A2 antibody
- Antibody type
- Polyclonal
- Description
- NKCC1,SLC12A2 antibody (Cat. #13884-1-AP) is a rabbit polyclonal antibody that shows reactivity with human, mouse, rat and has been validated for the following applications: IHC, WB, ELISA.
- Reactivity
- Human, Mouse, Rat
- Host
- Rabbit
- Conjugate
- Unconjugated
- Isotype
- IgG
- Vial size
- 20ul, 150ul
Submitted references Association Between Genetically Proxied SLC12A2 Inhibition and Inflammatory Bowel Disease: A Mendelian Randomization Study.
Mycobacterium tuberculosis modulates phosphorylation of host ATP6V1E1 to promote intracellular survival.
Sex-Dependent Modulation of AMPA and GABA(A) Receptors in Response to Perinatal Stress: Implications for Cognitive and Emotion-related Behaviors.
Furosemide sodium enhanced AQP3 expression by inhibiting NKCC1 leading to improved vitrification freezing rates of mouse and bovine blastocysts.
Mechanisms of polygalasaponin F against brain ischemia-reperfusion injury by targeting NKCC1.
Multicilia dynamically transduce Sonic Hedgehog signaling to regulate choroid plexus functions.
Targeting modulation of the choroid plexus blood-CSF barrier and CSF hypersecretion via lipid nanoparticle-mediated co-delivery of siRNA and resveratrol.
Breast Cancer-Derived Extracellular Vesicles Modulate the Cytoplasmic and Cytoskeletal Dynamics of Blood-Brain Barrier Endothelial Cells.
Multicilia dynamically transduce Shh signaling to regulate choroid plexus functions.
Cdc42 regulates apical membrane fusion via the Rab11a-VAMP2 pathway in salivary gland acinar cells.
Etomidate-Induced myoclonus in Sprague‒Dawley rats involves the activation of neocortical Calpain-2 and its decrement on KCC2 protein.
Myeloid-derived growth factor promotes M2 macrophage polarization and attenuates Sjögren's syndrome via suppression of the CX3CL1/CX3CR1 axis.
Time-dependent effects of tumor necrosis factor α on Ca(2+)-dependent secretion in murine small intestinal organoids.
Identification of feature genes in intestinal epithelial cell types.
PANoptosis Features, a Humanized NSG Murine Model of Sjogren's Syndrome.
High correlated color temperature artificial lighting impairs retinal pigment epithelium integrity and chloride ion transport: A potential mechanism for choroidal thinning.
1,2-Dichloroethane causes anxiety and cognitive dysfunction in mice by disturbing GABA metabolism and inhibiting the cAMP-PKA-CREB signaling pathway.
Targeting gut microbial nitrogen recycling and cellular uptake of ammonium to improve bortezomib resistance in multiple myeloma.
Comprehensive analyses of solute carrier family members identify SLC12A2 as a novel therapy target for colorectal cancer.
The ribotoxic stress response drives acute inflammation, cell death, and epidermal thickening in UV-irradiated skin in vivo.
Unilateral optogenetic kindling of hippocampus leads to more severe impairments of the inhibitory signaling in the contralateral hippocampus.
Alterations in histology of the aging salivary gland and correlation with the glandular inflammatory microenvironment.
Intestinal Cckbr-specific knockout mouse as a novel model of salt-sensitive hypertension via sodium over-absorption.
Correlation of age at seizure onset with GABA(A) receptor subunit and chloride Co-transporter configuration in Focal cortical dysplasia (FCD).
Choroid plexus mast cells drive tumor-associated hydrocephalus.
Atlas of human dental pulp cells at multiple spatial and temporal levels based on single-cell sequencing analysis.
The NKCC1 ion transporter modulates microglial phenotype and inflammatory response to brain injury in a cell-autonomous manner.
Novel γ-sarcoglycan interactors in murine muscle membranes.
NKCC1 promotes proliferation, invasion and migration in human gastric cancer cells via activation of the MAPK-JNK/EMT signaling pathway.
WNK3 Promotes Neuronal Survival after Traumatic Brain Injury in Rats.
Parasympathectomy increases resting secretion of the submandibular gland in minipigs in the long term.
Early uneven ear input induces long-lasting differences in left-right motor function.
Discovery of NKCC1 as a potential therapeutic target to inhibit hepatocellular carcinoma cell growth and metastasis.
The Severity of Vestibular Dysfunction in Deafness as a Determinant of Comorbid Hyperactivity or Anxiety.
Regulation of GABA Equilibrium Potential by mGluRs in Rat Hippocampal CA1 Neurons.
Bile deficiency induces changes in intestinal Cl(-) and HCO3 (-) secretions in mice.
A causative link between inner ear defects and long-term striatal dysfunction.
Yu X, Cao Y, Mao C, Tao C, Chen W
Biochemical genetics 2026 Feb;64(1):487-503
Biochemical genetics 2026 Feb;64(1):487-503
Mycobacterium tuberculosis modulates phosphorylation of host ATP6V1E1 to promote intracellular survival.
Chen J, Tang F, Qin L, Fang W, Guan L, Wu X, Li H, Duan Y, Wang F, Peng C, Liu Z, Wang J, Huang X, Wang L, Yang H, Wang L, Sha W, Cai X, Lyu LD, Liu H, Liu F, Ge B, Zheng R
Nature communications 2026 Feb 6;17(1)
Nature communications 2026 Feb 6;17(1)
Sex-Dependent Modulation of AMPA and GABA(A) Receptors in Response to Perinatal Stress: Implications for Cognitive and Emotion-related Behaviors.
Gaetano A, Gao V, Camp GV, Bouwalerh H, Cannella M, Imbriglio T, Scaccianoce S, Maccari S, Morley-Fletcher S
Current neuropharmacology 2025;23(12):1581-1599
Current neuropharmacology 2025;23(12):1581-1599
Furosemide sodium enhanced AQP3 expression by inhibiting NKCC1 leading to improved vitrification freezing rates of mouse and bovine blastocysts.
Min CG, Shan XS, Zhang KY, Wang YC, Ma X, Wang J, Zhao J, Fang Y, Liu HY, Ding H, Wang D, Guo J, Lu WF
Theriogenology 2025 Sep 15;244:117485
Theriogenology 2025 Sep 15;244:117485
Mechanisms of polygalasaponin F against brain ischemia-reperfusion injury by targeting NKCC1.
Sun J, Sun Y, Ma B, Qi R, Hao X, Lv J, Shi J, Wu W, Fu X, Shi R
Experimental neurology 2025 Mar;385:115076
Experimental neurology 2025 Mar;385:115076
Multicilia dynamically transduce Sonic Hedgehog signaling to regulate choroid plexus functions.
Mao S, Song R, Jin S, Pang S, Jovanovic A, Zimmerman A, Li P, Wu X, Wendland MF, Lin K, Chen WC, Choksi SP, Chen G, Holtzman MJ, Reiter JF, Wan Y, Xuan Z, Xiang YK, Xu CS, Upadhyayula S, Hess HF, He L
Cell reports 2025 Mar 25;44(3):115383
Cell reports 2025 Mar 25;44(3):115383
Targeting modulation of the choroid plexus blood-CSF barrier and CSF hypersecretion via lipid nanoparticle-mediated co-delivery of siRNA and resveratrol.
Wang Q, Xia X, Zhang H, Li Y, Zhu L, Shi Y, Tang Y, Cheng J, Hui X, Gao H
Nature communications 2025 Jul 10;16(1):6389
Nature communications 2025 Jul 10;16(1):6389
Breast Cancer-Derived Extracellular Vesicles Modulate the Cytoplasmic and Cytoskeletal Dynamics of Blood-Brain Barrier Endothelial Cells.
Busatto S, Song TH, Kim HJ, Hallinan C, Lombardo MN, Stemmer-Rachamimov AO, Lee K, Moses MA
Journal of extracellular vesicles 2025 Jan;14(1):e70038
Journal of extracellular vesicles 2025 Jan;14(1):e70038
Multicilia dynamically transduce Shh signaling to regulate choroid plexus functions.
Mao S, Song R, Jin S, Pang S, Jovanovic A, Zimmerman A, Li P, Wu X, Wendland MF, Lin K, Chen WC, Choksi SP, Chen G, Holtzman MJ, Reiter JF, Wan Y, Xuan Z, Xiang YK, Xu CS, Upadhyayula S, Hess HF, He L
bioRxiv : the preprint server for biology 2025 Jan 22;
bioRxiv : the preprint server for biology 2025 Jan 22;
Cdc42 regulates apical membrane fusion via the Rab11a-VAMP2 pathway in salivary gland acinar cells.
Shitara A, Nagase H, Bleck CKE, Ohno Y, Kataoka H, Satoh K, Kashimata M
bioRxiv : the preprint server for biology 2025 Aug 1;
bioRxiv : the preprint server for biology 2025 Aug 1;
Etomidate-Induced myoclonus in Sprague‒Dawley rats involves the activation of neocortical Calpain-2 and its decrement on KCC2 protein.
Feng Y, Cheng YX, Wang XH
BMC anesthesiology 2025 Apr 25;25(1):213
BMC anesthesiology 2025 Apr 25;25(1):213
Myeloid-derived growth factor promotes M2 macrophage polarization and attenuates Sjögren's syndrome via suppression of the CX3CL1/CX3CR1 axis.
Yang Z, Liu M, Chang Z, Du C, Yang Y, Zhang C, Hu L
Frontiers in immunology 2024;15:1465938
Frontiers in immunology 2024;15:1465938
Time-dependent effects of tumor necrosis factor α on Ca(2+)-dependent secretion in murine small intestinal organoids.
Pauer SM, Buß B, Diener M, Ballout J
Frontiers in physiology 2024;15:1382238
Frontiers in physiology 2024;15:1382238
Identification of feature genes in intestinal epithelial cell types.
Lou R, Song W, Yu S, Wang X, Liu Y, Chen YG, Wang Y
Cell regeneration (London, England) 2024 Nov 15;13(1):24
Cell regeneration (London, England) 2024 Nov 15;13(1):24
PANoptosis Features, a Humanized NSG Murine Model of Sjogren's Syndrome.
Yang Y, Zhang H, Xiao X, Guo M
DNA and cell biology 2024 May;43(5):207-218
DNA and cell biology 2024 May;43(5):207-218
High correlated color temperature artificial lighting impairs retinal pigment epithelium integrity and chloride ion transport: A potential mechanism for choroidal thinning.
Zhang C, Jiao Q, Wang M, Zhu Z, Zhao J, Zheng Y
Biochemical and biophysical research communications 2024 Jul 23;718:150078
Biochemical and biophysical research communications 2024 Jul 23;718:150078
1,2-Dichloroethane causes anxiety and cognitive dysfunction in mice by disturbing GABA metabolism and inhibiting the cAMP-PKA-CREB signaling pathway.
Qin Y, Huang W, Wang Z, Wang C, Wang C, Zhang M, Wu S, Wang G, Zhao F
Ecotoxicology and environmental safety 2024 Jul 1;279:116464
Ecotoxicology and environmental safety 2024 Jul 1;279:116464
Targeting gut microbial nitrogen recycling and cellular uptake of ammonium to improve bortezomib resistance in multiple myeloma.
Zhu Y, Jian X, Chen S, An G, Jiang D, Yang Q, Zhang J, Hu J, Qiu Y, Feng X, Guo J, Chen X, Li Z, Zhou R, Hu C, He N, Shi F, Huang S, Liu H, Li X, Xie L, Zhu Y, Zhao L, Jiang Y, Li J, Wang J, Qiu L, Chen X, Jia W, He Y, Zhou W
Cell metabolism 2024 Jan 2;36(1):159-175.e8
Cell metabolism 2024 Jan 2;36(1):159-175.e8
Comprehensive analyses of solute carrier family members identify SLC12A2 as a novel therapy target for colorectal cancer.
Chen DY, Zhang YY, Nie HH, Wang HZ, Qiu PS, Wang F, Peng YN, Xu F, Zhao Q, Zhang M
Scientific reports 2024 Feb 23;14(1):4459
Scientific reports 2024 Feb 23;14(1):4459
The ribotoxic stress response drives acute inflammation, cell death, and epidermal thickening in UV-irradiated skin in vivo.
Vind AC, Wu Z, Firdaus MJ, Snieckute G, Toh GA, Jessen M, Martínez JF, Haahr P, Andersen TL, Blasius M, Koh LF, Maartensson NL, Common JEA, Gyrd-Hansen M, Zhong FL, Bekker-Jensen S
Molecular cell 2024 Dec 19;84(24):4774-4789.e9
Molecular cell 2024 Dec 19;84(24):4774-4789.e9
Unilateral optogenetic kindling of hippocampus leads to more severe impairments of the inhibitory signaling in the contralateral hippocampus.
Tescarollo FC, Valdivia D, Chen S, Sun H
Frontiers in molecular neuroscience 2023;16:1268311
Frontiers in molecular neuroscience 2023;16:1268311
Alterations in histology of the aging salivary gland and correlation with the glandular inflammatory microenvironment.
Li N, Ye Y, Wu Y, Li L, Hu J, Luo D, Li Y, Yang J, Gao Y, Hai W, Xie Y, Jiang L
iScience 2023 May 19;26(5):106571
iScience 2023 May 19;26(5):106571
Intestinal Cckbr-specific knockout mouse as a novel model of salt-sensitive hypertension via sodium over-absorption.
Zhang QY, Guo Y, Jiang XL, Liu X, Zhao SG, Zhou XL, Yang ZW
Journal of geriatric cardiology : JGC 2023 Jul 28;20(7):538-547
Journal of geriatric cardiology : JGC 2023 Jul 28;20(7):538-547
Correlation of age at seizure onset with GABA(A) receptor subunit and chloride Co-transporter configuration in Focal cortical dysplasia (FCD).
Sharma D, Tripathi M, Doddamani R, Sharma MC, Lalwani S, Sarat Chandra P, Banerjee Dixit A, Banerjee J
Neuroscience letters 2023 Feb 6;796:137065
Neuroscience letters 2023 Feb 6;796:137065
Choroid plexus mast cells drive tumor-associated hydrocephalus.
Li Y, Di C, Song S, Zhang Y, Lu Y, Liao J, Lei B, Zhong J, Guo K, Zhang N, Su S
Cell 2023 Dec 21;186(26):5719-5738.e28
Cell 2023 Dec 21;186(26):5719-5738.e28
Atlas of human dental pulp cells at multiple spatial and temporal levels based on single-cell sequencing analysis.
Ren H, Wen Q, Zhao Q, Wang N, Zhao Y
Frontiers in physiology 2022;13:993478
Frontiers in physiology 2022;13:993478
The NKCC1 ion transporter modulates microglial phenotype and inflammatory response to brain injury in a cell-autonomous manner.
Tóth K, Lénárt N, Berki P, Fekete R, Szabadits E, Pósfai B, Cserép C, Alatshan A, Benkő S, Kiss D, Hübner CA, Gulyás A, Kaila K, Környei Z, Dénes Á
PLoS biology 2022 Jan;20(1):e3001526
PLoS biology 2022 Jan;20(1):e3001526
Novel γ-sarcoglycan interactors in murine muscle membranes.
Smith TC, Vasilakos G, Shaffer SA, Puglise JM, Chou CH, Barton ER, Luna EJ
Skeletal muscle 2022 Jan 22;12(1):2
Skeletal muscle 2022 Jan 22;12(1):2
NKCC1 promotes proliferation, invasion and migration in human gastric cancer cells via activation of the MAPK-JNK/EMT signaling pathway.
Wang JF, Zhao K, Chen YY, Qiu Y, Zhu JH, Li BP, Wang Z, Chen JQ
Journal of Cancer 2021;12(1):253-263
Journal of Cancer 2021;12(1):253-263
WNK3 Promotes Neuronal Survival after Traumatic Brain Injury in Rats.
Zhu J, Lin X, Chen C, Tan H, Gao Y, Li D, Chen G
Neuroscience 2021 Nov 21;477:76-88
Neuroscience 2021 Nov 21;477:76-88
Parasympathectomy increases resting secretion of the submandibular gland in minipigs in the long term.
Zhang XM, Huang Y, Cong X, Qu LH, Zhang K, Wu LL, Zhang Y, Yu GY
Journal of cellular physiology 2019 Jun;234(6):9515-9524
Journal of cellular physiology 2019 Jun;234(6):9515-9524
Early uneven ear input induces long-lasting differences in left-right motor function.
Antoine MW, Zhu X, Dieterich M, Brandt T, Vijayakumar S, McKeehan N, Arezzo JC, Zukin RS, Borkholder DA, Jones SM, Frisina RD, Hébert JM
PLoS biology 2018 Mar;16(3):e2002988
PLoS biology 2018 Mar;16(3):e2002988
Discovery of NKCC1 as a potential therapeutic target to inhibit hepatocellular carcinoma cell growth and metastasis.
Zhou Y, Sun W, Chen N, Xu C, Wang X, Dong K, Zhang B, Zhang J, Hao N, Sun A, Wei H, He F, Jiang Y
Oncotarget 2017 Sep 12;8(39):66328-66342
Oncotarget 2017 Sep 12;8(39):66328-66342
The Severity of Vestibular Dysfunction in Deafness as a Determinant of Comorbid Hyperactivity or Anxiety.
Antoine MW, Vijayakumar S, McKeehan N, Jones SM, Hébert JM
The Journal of neuroscience : the official journal of the Society for Neuroscience 2017 May 17;37(20):5144-5154
The Journal of neuroscience : the official journal of the Society for Neuroscience 2017 May 17;37(20):5144-5154
Regulation of GABA Equilibrium Potential by mGluRs in Rat Hippocampal CA1 Neurons.
Yang B, Rajput PS, Kumar U, Sastry BR
PloS one 2015;10(9):e0138215
PloS one 2015;10(9):e0138215
Bile deficiency induces changes in intestinal Cl(-) and HCO3 (-) secretions in mice.
Song P, Du Y, Song W, Liu X, Hong L, Li H, Xie H, Zhou L, Tuo B, Zheng S
Acta physiologica (Oxford, England) 2014 Jun;211(2):421-33
Acta physiologica (Oxford, England) 2014 Jun;211(2):421-33
A causative link between inner ear defects and long-term striatal dysfunction.
Antoine MW, Hübner CA, Arezzo JC, Hébert JM
Science (New York, N.Y.) 2013 Sep 6;341(6150):1120-3
Science (New York, N.Y.) 2013 Sep 6;341(6150):1120-3
No comments: Submit comment
Supportive validation
- Submitted by
- Proteintech Group (provider)
- Main image

- Experimental details
- A549 cells were subjected to SDS PAGE followed by western blot with 13884-1-AP(SLC12A2 antibody) at dilution of 1:400
- Sample type
- cell line
Supportive validation
- Submitted by
- Proteintech Group (provider)
- Main image

- Experimental details
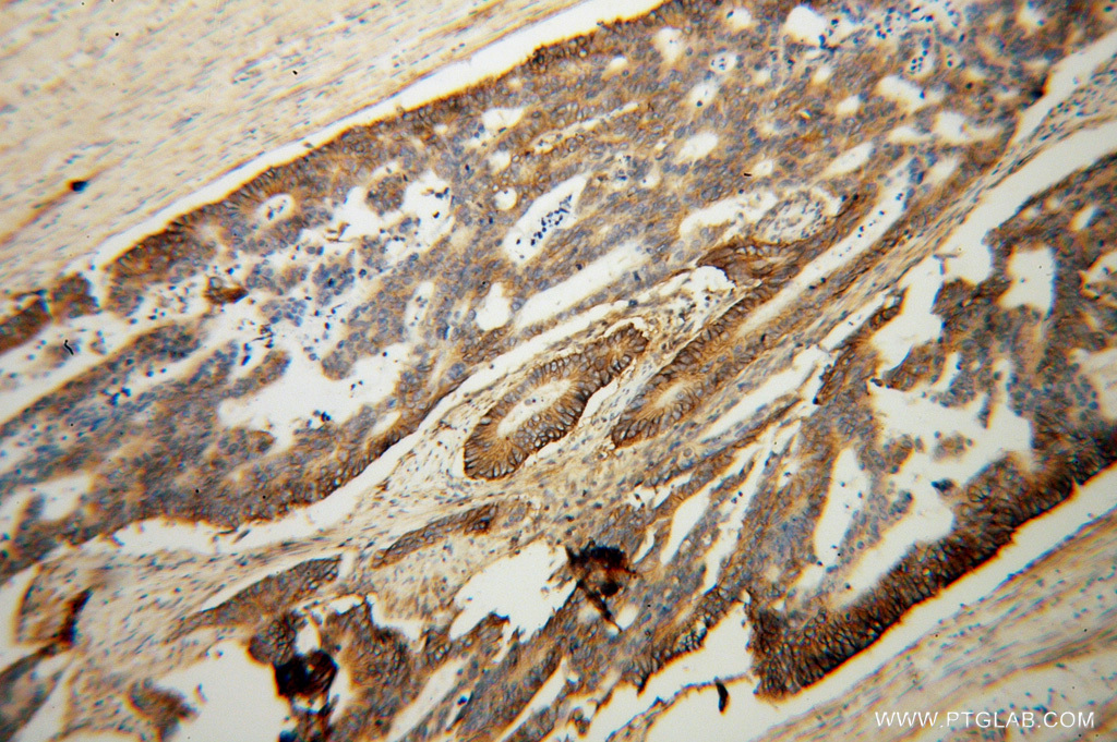
- Immunohistochemical of paraffin-embedded human colon cancer using 13884-1-AP(SLC12A2 antibody) at dilution of 1:100 (under 10x lens)
- Sample type
- tissue
- Submitted by
- Proteintech Group (provider)
- Main image

- Experimental details
- The SLC12A2 antibody from Proteintech is a rabbit polyclonal antibody to a recombinant protein of human SLC12A2. This antibody recognizes human, mouse, rat antigen. The SLC12A2 antibody has been validated for the following applications: ELISA, WB, IHC analysis.