Antibody data
- Antibody Data
- Antigen structure
- References [0]
- Comments [0]
- Validations
- Immunohistochemistry [1]
- Other assay [1]
Submit
Validation data
Reference
Comment
Report error
- Product number
- A302-922A - Provider product page

- Provider
- Invitrogen Antibodies
- Product name
- RABGEF1 Polyclonal Antibody
- Antibody type
- Polyclonal
- Antigen
- Other
- Reactivity
- Human
- Host
- Rabbit
- Isotype
- IgG
- Vial size
- 100 µL
- Concentration
- 1 mg/mL
- Storage
- 4° C
No comments: Submit comment
Supportive validation
- Submitted by
- Invitrogen Antibodies (provider)
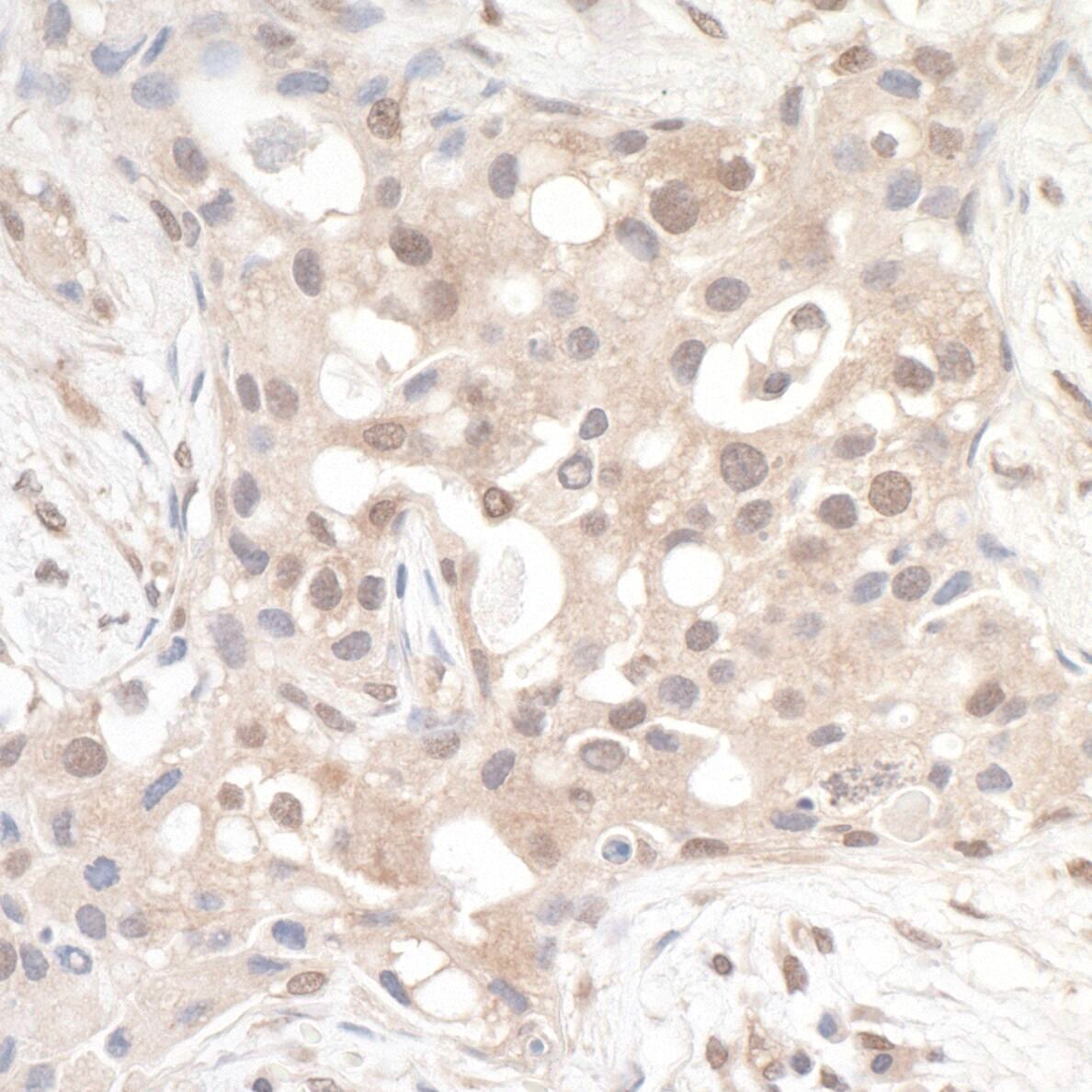
- Main image

- Experimental details
- Detection of human RABGEF1 by immunohistochemistry. Sample: FFPE section of human lung cancer. Antibody: Affinity purified rabbit anti- RABGEF1 (Cat. No. A302-922A Lot2) used at a dilution of 1:5,000 (0.2µg/ml). Detection: DAB.
Supportive validation
- Submitted by
- Invitrogen Antibodies (provider)
- Main image

- Experimental details
- Detection of human RABGEF1 by western blot of immunoprecipitates. Samples:Whole cell lysate (1.0 mg per IP reaction; 20% of IP loaded) from HeLa cells prepared using NETN lysis buffer. Antibodies: Affinity purified rabbit anti-RABGEF1 antibody A302-922A (lot A302-922A-2) used for IP at 3 µg per reaction. RABGEF1 was also immunoprecipitated by rabbit anti-RABGEF1 antibody A302-921A. For blotting immunoprecipitated RABGEF1, A302-921A was used at 1 µg/ml. Detection:Chemiluminescence with an exposure time of 3 minutes.