Antibody data
- Antibody Data
- Antigen structure
- References [0]
- Comments [0]
- Validations
- Western blot [4]
- Immunocytochemistry [1]
- Immunohistochemistry [2]
- Other assay [1]
Submit
Validation data
Reference
Comment
Report error
- Product number
- 16639-1-AP - Provider product page

- Provider
- Invitrogen Antibodies
- Product name
- EPLIN Polyclonal Antibody
- Antibody type
- Polyclonal
- Antigen
- Other
- Reactivity
- Human, Mouse, Rat
- Host
- Rabbit
- Isotype
- IgG
- Vial size
- 150 µL
- Concentration
- 0.15 mg/mL
- Storage
- -20°C
No comments: Submit comment
Supportive validation
- Submitted by
- Invitrogen Antibodies (provider)
- Main image

- Experimental details
- WB result of EPLIN antibody (16639-1-AP, 1:1000) with si-Control and si-EPLIN transfected HEK293 cells.
- Submitted by
- Invitrogen Antibodies (provider)
- Main image

- Experimental details
- HUVEC cells were subjected to SDS PAGE followed by western blot with 16639-1-AP (EPLIN antibody) at dilution of 1:300 incubated at room temperature for 1.5 hours.
- Submitted by
- Invitrogen Antibodies (provider)
- Main image

- Experimental details
- Human placenta tissue were subjected to SDS PAGE followed by western blot with 16639-1-AP (EPLIN antibody) at dilution of 1:300 incubated at room temperature for 1.5 hours.
- Submitted by
- Invitrogen Antibodies (provider)
- Main image

- Experimental details
- Mouse liver tissue were subjected to SDS PAGE followed by western blot with 16639-1-AP (EPLIN antibody) at dilution of 1:500 incubated at room temperature for 1.5 hours.
Supportive validation
- Submitted by
- Invitrogen Antibodies (provider)
- Main image

- Experimental details
- Immunofluorescent analysis of HepG2 cells, using LIMA1 antibody 16639-1-AP at 1:25 dilution and Rhodamine-labeled goat anti-rabbit IGG (red).
Supportive validation
- Submitted by
- Invitrogen Antibodies (provider)
- Main image

- Experimental details
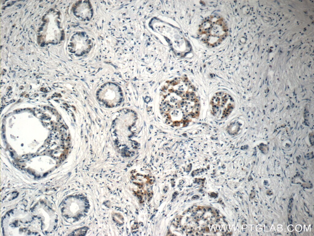
- Immunohistochemistry of paraffin-embedded human pancreas cancer tissue slide using 16639-1-AP ( EPLIN antibody at dilution of 1:50 (under 10x lens).
- Submitted by
- Invitrogen Antibodies (provider)
- Main image

- Experimental details
- Immunohistochemistry of paraffin-embedded human pancreas cancer tissue slide using 16639-1-AP ( EPLIN antibody at dilution of 1:50 (under 40x lens).
Supportive validation
- Submitted by
- Invitrogen Antibodies (provider)
- Main image

- Experimental details
- IP result of anti-EPLIN (IP:16639-1-AP, 4ug; Detection:16639-1-AP 1:500) with mouse liver tissue lysate 4000ug.