Antibody data
- Antibody Data
- Antigen structure
- References [2]
- Comments [0]
- Validations
- Western blot [2]
- Immunohistochemistry [7]
Submit
Validation data
Reference
Comment
Report error
- Product number
- NBP1-87947 - Provider product page

- Provider
- Novus Biologicals
- Proper citation
- Novus Cat#NBP1-87947, RRID:AB_11028495
- Product name
- Rabbit Polyclonal EPLIN Antibody
- Antibody type
- Polyclonal
- Description
- Immunogen affinity purified. Specificity of human EPLIN antibody verified on a Protein Array containing target protein plus 383 other non-specific proteins.
- Reactivity
- Human, Mouse
- Host
- Rabbit
- Isotype
- IgG
- Vial size
- 0.1 ml
- Storage
- Store at 4C short term. Aliquot and store at -20C long term. Avoid freeze-thaw cycles.
Submitted references DNp73 exerts function in metastasis initiation by disconnecting the inhibitory role of EPLIN on IGF1R-AKT/STAT3 signaling.
Immunofluorescence and fluorescent-protein tagging show high correlation for protein localization in mammalian cells.
Steder M, Alla V, Meier C, Spitschak A, Pahnke J, Fürst K, Kowtharapu BS, Engelmann D, Petigk J, Egberts F, Schäd-Trcka SG, Gross G, Nettelbeck DM, Niemetz A, Pützer BM
Cancer cell 2013 Oct 14;24(4):512-27
Cancer cell 2013 Oct 14;24(4):512-27
Immunofluorescence and fluorescent-protein tagging show high correlation for protein localization in mammalian cells.
Stadler C, Rexhepaj E, Singan VR, Murphy RF, Pepperkok R, Uhlén M, Simpson JC, Lundberg E
Nature methods 2013 Apr;10(4):315-23
Nature methods 2013 Apr;10(4):315-23
No comments: Submit comment
Supportive validation
- Submitted by
- Novus Biologicals (provider)
- Main image

- Experimental details
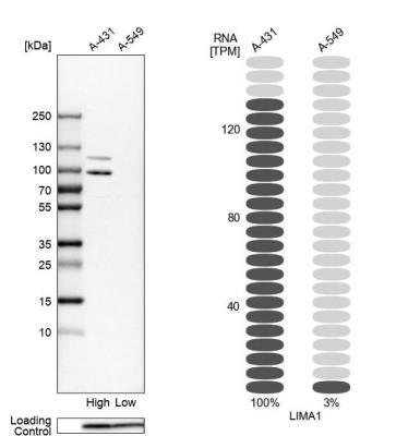
- Western Blot: EPLIN Antibody [NBP1-87947] - Analysis in human cell lines A-431 and A-549. Corresponding RNA-seq data are presented for the same cell lines. Loading control: Anti-PPIB.
- Submitted by
- Novus Biologicals (provider)
- Main image

- Experimental details
- Western Blot: EPLIN Antibody [NBP1-87947] - Analysis using Anti-LIMA1 antibody NBP1-87947 (A) shows similar pattern to independent antibody NBP2-38673 (B).
Supportive validation
- Submitted by
- Novus Biologicals (provider)
- Main image

- Experimental details
- Immunohistochemistry-Paraffin: EPLIN Antibody [NBP1-87947] - Staining of human pancreas shows low expression as expected.
- Submitted by
- Novus Biologicals (provider)
- Main image

- Experimental details
- Immunohistochemistry-Paraffin: EPLIN Antibody [NBP1-87947] - Staining of human rectum shows high expression.
- Submitted by
- Novus Biologicals (provider)
- Main image

- Experimental details
- Immunohistochemistry-Paraffin: EPLIN Antibody [NBP1-87947] - Staining in human rectum and pancreas tissues using anti-LIMA1 antibody. Corresponding LIMA1 RNA-seq data are presented for the same tissues.
- Submitted by
- Novus Biologicals (provider)
- Main image

- Experimental details
- Immunohistochemistry-Paraffin: EPLIN Antibody [NBP1-87947] - Staining of human testis.
- Submitted by
- Novus Biologicals (provider)
- Main image

- Experimental details
- Immunohistochemistry-Paraffin: EPLIN Antibody [NBP1-87947] - Staining of human liver.
- Submitted by
- Novus Biologicals (provider)
- Main image

- Experimental details
- Immunohistochemistry-Paraffin: EPLIN Antibody [NBP1-87947] - Staining of human rectum.
- Submitted by
- Novus Biologicals (provider)
- Main image

- Experimental details
- Immunohistochemistry-Paraffin: EPLIN Antibody [NBP1-87947] - Staining of human pancreas using Anti-LIMA1 antibody NBP1-87947.