Antibody data
- Antibody Data
- Antigen structure
- References [6]
- Comments [0]
- Validations
- Immunohistochemistry [1]
Submit
Validation data
Reference
Comment
Report error
- Product number
- PB9447 - Provider product page

- Provider
- Boster Biological Technology
- Product name
- Anti-mtTFA/TFAM Antibody Picoband™
- Antibody type
- Polyclonal
- Description
- Polyclonal antibody for MTTFA/TFAM detection. Host: Rabbit.Size: 100μg/vial. Tested applications: WB, IHC-P, ICC/IF, FCM. Reactive species: Human;Mouse;Rat. MTTFA/TFAM information: Molecular Weight: 29097 MW; Subcellular Localization: Mitochondrion. Mitochondrion matrix, mitochondrion nucleoid.
- Reactivity
- Human, Mouse, Rat
- Host
- Rabbit
- Vial size
- 100μg/vial
- Concentration
- Add 0.2ml of distilled water will yield a concentration of 500ug/ml.
- Storage
- At -20°C for one year. After reconstitution, at 4°C for one month. It can also be aliquoted and stored frozen at -20°C for a longer time. Avoid repeated freezing and thawing.
- Handling
- Add 0.2ml of distilled water will yield a concentration of 500ug/ml.
Submitted references ß1-adrenergic blockers preserve neuromuscular function by inhibiting the production of extracellular traps during systemic inflammation in mice.
AMPK Activator O304 Protects Against Kidney Aging Through Promoting Energy Metabolism and Autophagy.
CXC Chemokine Receptor 2 Accelerates Tubular Cell Senescence and Renal Fibrosis via β-Catenin-Induced Mitochondrial Dysfunction.
Seed oil of Rosa roxburghii Tratt against non-alcoholic fatty liver disease in vivo and in vitro through PPARα/PGC-1α-mediated mitochondrial oxidative metabolism.
Cannabinoid receptor 2 plays a central role in renal tubular mitochondrial dysfunction and kidney ageing.
Cognitive Protective Mechanism of Crocin Pretreatment in Rat Submitted to Acute High-Altitude Hypoxia Exposure.
Bourcier CH, Michel-Flutot P, Emam L, Adam L, Gasser A, Vinit S, Mansart A
Frontiers in immunology 2023;14:1228374
Frontiers in immunology 2023;14:1228374
AMPK Activator O304 Protects Against Kidney Aging Through Promoting Energy Metabolism and Autophagy.
Zhu M, Shen W, Li J, Jia N, Xiong Y, Miao J, Xie C, Chen Q, Shen K, Meng P, Li X, Wu Q, Zhou S, Wang M, Kong Y, Zhou L
Frontiers in pharmacology 2022;13:836496
Frontiers in pharmacology 2022;13:836496
CXC Chemokine Receptor 2 Accelerates Tubular Cell Senescence and Renal Fibrosis via β-Catenin-Induced Mitochondrial Dysfunction.
Meng P, Huang J, Ling X, Zhou S, Wei J, Zhu M, Miao J, Shen W, Li J, Ye H, Niu H, Zhang Y, Zhou L
Frontiers in cell and developmental biology 2022;10:862675
Frontiers in cell and developmental biology 2022;10:862675
Seed oil of Rosa roxburghii Tratt against non-alcoholic fatty liver disease in vivo and in vitro through PPARα/PGC-1α-mediated mitochondrial oxidative metabolism.
Ni HY, Yu L, Zhao XL, Wang LT, Zhao CJ, Huang H, Zhu HL, Efferth T, Gu CB, Fu YJ
Phytomedicine : international journal of phytotherapy and phytopharmacology 2022 Apr;98:153919
Phytomedicine : international journal of phytotherapy and phytopharmacology 2022 Apr;98:153919
Cannabinoid receptor 2 plays a central role in renal tubular mitochondrial dysfunction and kidney ageing.
Zhou S, Ling X, Meng P, Liang Y, Shen K, Wu Q, Zhang Y, Chen Q, Chen S, Liu Y, Zhou L
Journal of cellular and molecular medicine 2021 Sep;25(18):8957-8972
Journal of cellular and molecular medicine 2021 Sep;25(18):8957-8972
Cognitive Protective Mechanism of Crocin Pretreatment in Rat Submitted to Acute High-Altitude Hypoxia Exposure.
Zhang X, Zhang X, Dang Z, Su S, Li Z, Lu D
BioMed research international 2020;2020:3409679
BioMed research international 2020;2020:3409679
No comments: Submit comment
Supportive validation
- Submitted by
- Boster Biological Technology (provider)
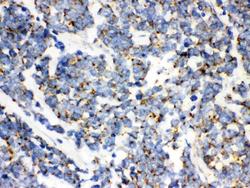
- Main image

- Experimental details
- IHC analysis of mtTFA using anti-mtTFA antibody (PB9447). mtTFA was detected in paraffin-embedded section of human lung cancer tissue. Heat mediated antigen retrieval was performed in citrate buffer (pH6, epitope retrieval solution) for 20 mins. The tissue section was blocked with 10% goat serum. The tissue section was then incubated with 1μg/ml rabbit anti-mtTFA Antibody (PB9447) overnight at 4°C. Biotinylated goat anti-rabbit IgG was used as secondary antibody and incubated for 30 minutes at 37°C. The tissue section was developed using Strepavidin-Biotin-Complex (SABC)(Catalog # SA1022) with DAB as the chromogen.
- Additional image
