22659
antibody from Signalway Antibody LLC
Targeting: SERPING1
C1-INH, C1IN, C1INH, C1NH, HAE1, HAE2
Antibody data
- Antibody Data
- Antigen structure
- References [0]
- Comments [0]
- Validations
- Immunohistochemistry [1]
Submit
Validation data
Reference
Comment
Report error
- Product number
- 22659 - Provider product page

- Provider
- Signalway Antibody LLC
- Proper citation
- Signalway Cat#22659, RRID:AB_11122911
- Product name
- C1INH antibody
- Antibody type
- Polyclonal
- Antigen
- Recombinant protein fragment contain a sequence corresponding to a region within amino acids 77 and 390 of Human SERPING1
- Host
- Rabbit
- Conjugate
- Unconjugated
- Vial size
- 100µl
No comments: Submit comment
Supportive validation
- Submitted by
- Signalway Antibody LLC (provider)
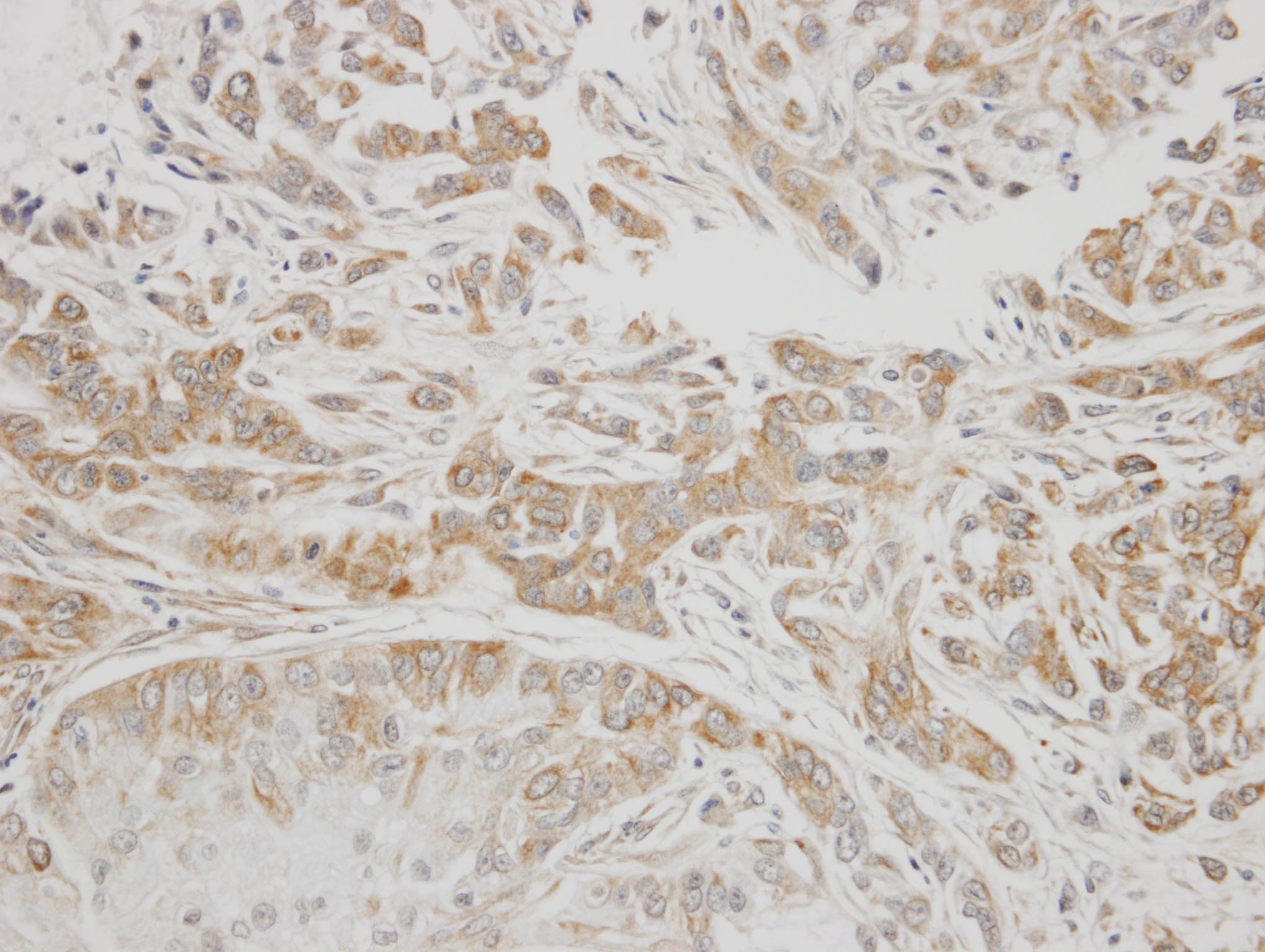
- Main image

- Experimental details
- Immunohistochemical analysis of paraffin-embedded A549 xenograft, using C1 inhibitor antibody at 1: 300 dilution.