Antibody data
- Antibody Data
- Antigen structure
- References [0]
- Comments [0]
- Validations
- Western blot [4]
- Immunocytochemistry [1]
- Immunohistochemistry [2]
- Flow cytometry [1]
Submit
Validation data
Reference
Comment
Report error
- Product number
- APR-034-25UL - Provider product page

- Provider
- Invitrogen Antibodies
- Product name
- PAR4 (F2RL3) (extracellular) Polyclonal Antibody
- Antibody type
- Polyclonal
- Antigen
- Other
- Reactivity
- Human, Mouse, Rat
- Host
- Rabbit
- Isotype
- IgG
- Vial size
- 25 µL
- Concentration
- 0.8 mg/mL
- Storage
- -20° C, Avoid Freeze/Thaw Cycles
No comments: Submit comment
Supportive validation
- Submitted by
- Invitrogen Antibodies (provider)
- Main image

- Experimental details
- Western blot analysis of human prostate carcinoma PC3 (lanes 1 and 4), and Human LNCaP prostate carcinoma (lanes 2 and 5), and human T cell leukemia Jurkat (lanes 3 and 6) cell lines: - 1-3. Anti-PAR4 (F2RL3) (extracellular) Antibody (#APR-034), (1:200).4-6. Anti-PAR4 (F2RL3) (extracellular) Antibody , preincubated with PAR4/F2RL3 (extracellular) Blocking Peptide (#BLP-PR034).
- Submitted by
- Invitrogen Antibodies (provider)
- Main image

- Experimental details
- Western blot analysisof rat lung (lanes 1 and 3) and testis (lanes 2 and 4) lysates: - 1,2. Anti-PAR4 (F2RL3) (extracellular) Antibody (#APR-034), (1:200).3,4. Anti-PAR4 (F2RL3) (extracellular) Antibody , preincubated with PAR4/F2RL3 (extracellular) Blocking Peptide (#BLP-PR034).
- Submitted by
- Invitrogen Antibodies (provider)
- Main image

- Experimental details
- Western blot analysis of human prostate carcinoma PC3 (lanes 1 and 4), and Human LNCaP prostate carcinoma (lanes 2 and 5), and human T cell leukemia Jurkat (lanes 3 and 6) cell lines: - 1-3. Anti-PAR4 (F2RL3) (extracellular) Antibody (#APR-034), (1:200).4-6. Anti-PAR4 (F2RL3) (extracellular) Antibody , preincubated with PAR4/F2RL3 (extracellular) Blocking Peptide (#BLP-PR034).
- Submitted by
- Invitrogen Antibodies (provider)
- Main image

- Experimental details
- Western blot analysisof rat lung (lanes 1 and 3) and testis (lanes 2 and 4) lysates: - 1,2. Anti-PAR4 (F2RL3) (extracellular) Antibody (#APR-034), (1:200).3,4. Anti-PAR4 (F2RL3) (extracellular) Antibody , preincubated with PAR4/F2RL3 (extracellular) Blocking Peptide (#BLP-PR034).
Supportive validation
- Submitted by
- Invitrogen Antibodies (provider)
- Main image

- Experimental details
- Expression of PAR-4 in a human breast adenocarcinoma cell line - Cell surface detection of PAR-4 in a human breast adenocarcinoma cell line. A. Live intact human MCF-7 cells were stained with Anti-PAR4 (F2RL3) (extracellular) Antibody (#APR-034), (1:50), followed by goat Anti-rabbit-AlexaFluor-488 secondary Antibody (green). B. Live view of the cells. C. Nuclei were visualized with the cell-permeable dye Hoechst 33342 (blue).
Supportive validation
- Submitted by
- Invitrogen Antibodies (provider)
- Main image

- Experimental details
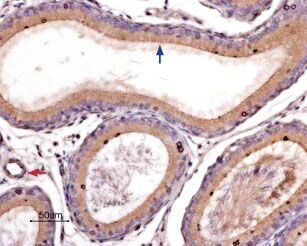
- Expression of PAR-4 in rat epididymis - Immunohistochemical staining of rat epididymis paraffin-embedded sections using Anti-PAR4 (F2RL3) (extracellular) Antibody (APR-034), (1:100). Note that strong and specific staining is present in both the pseudostratified epithelium (blue arrow) and the smooth muscle cells of the blood vessels (red arrow). Hematoxilin is used as the counterstain.
- Submitted by
- Invitrogen Antibodies (provider)
- Main image

- Experimental details
- Expression of PAR-4 in rat lung - Immunohistochemical staining of rat lung paraffin-embedded sections using Anti-PAR4 (F2RL3) (extracellular) Antibody (APR-034), (1:100). Note that staining is present in the respiratory epithelium of thebronchiole (blue arrow) as well as in the smooth muscle cells of themuscularis mucosae (red arrow).Hematoxilin is used as the counterstain.
Supportive validation
- Submitted by
- Invitrogen Antibodies (provider)
- Main image

- Experimental details
- Cell surface detection of PAR-4 by indirect flow cytometry in live intact human MEG-01 megakaryocytic leukemia cells: - (black line) cells. (red) Cells + goat- Anti-rabbit-FITC. (green) Cells + Anti-PAR4 (F2RL3) (extracellular) Antibody (#APR-034), (2.5μg) + goat- Anti-rabbit-FITC.