Antibody data
- Antibody Data
- Antigen structure
- References [1]
- Comments [0]
- Validations
- Western blot [1]
- Immunohistochemistry [2]
Submit
Validation data
Reference
Comment
Report error
- Product number
- ABIN1108332 - Provider product page

- Provider
- antibodies-online
- Product name
- anti-Myelin Expression Factor 2 (MYEF2) (Middle Region) antibody
- Antibody type
- Polyclonal
- Antigen
- The immunogen for anti-MYEF2 antibody: synthetic peptide directed towards the middle region of human MYEF2.
- Description
- Purified using peptide immunoaffinity column
- Reactivity
- Human, Mouse, Rat, Bovine, Canine, Chicken/Avian, Xenopus, Zebrafish
- Host
- Rabbit
- Antigen sequence
QAGRLGSTIFVANLDFKVGWKKLKEVFSIAGTVKR
ADIKEDKDGKSRGMG- Epitope
- Middle Region
- Vial size
- 50 μg
- Storage
- Store lyophilized at 2-8°C or at -20°C long term. After reconstitution store the antibody undiluted at 2-8°C for up to one month or in aliquots at -20°C long term.
- Handling
- Avoid repeated freezing and thawing.
Submitted references A new myocyte-specific enhancer-binding factor that recognizes a conserved element associated with multiple muscle-specific genes.
Gossett LA, Kelvin DJ, Sternberg EA, Olson EN
Molecular and cellular biology 1989 Nov;9(11):5022-33
Molecular and cellular biology 1989 Nov;9(11):5022-33
No comments: Submit comment
Supportive validation
- Submitted by
- antibodies-online (provider)
- Main image

- Experimental details
- Human Jurkat; WB Suggested Anti-MYEF2 Antibody Titration: 0.2-1 ug/ml. Positive Control: Jurkat cell lysate; MYEF2 antibody - middle region (AP42135PU-N) in Human Jurkat cells using Western Blot
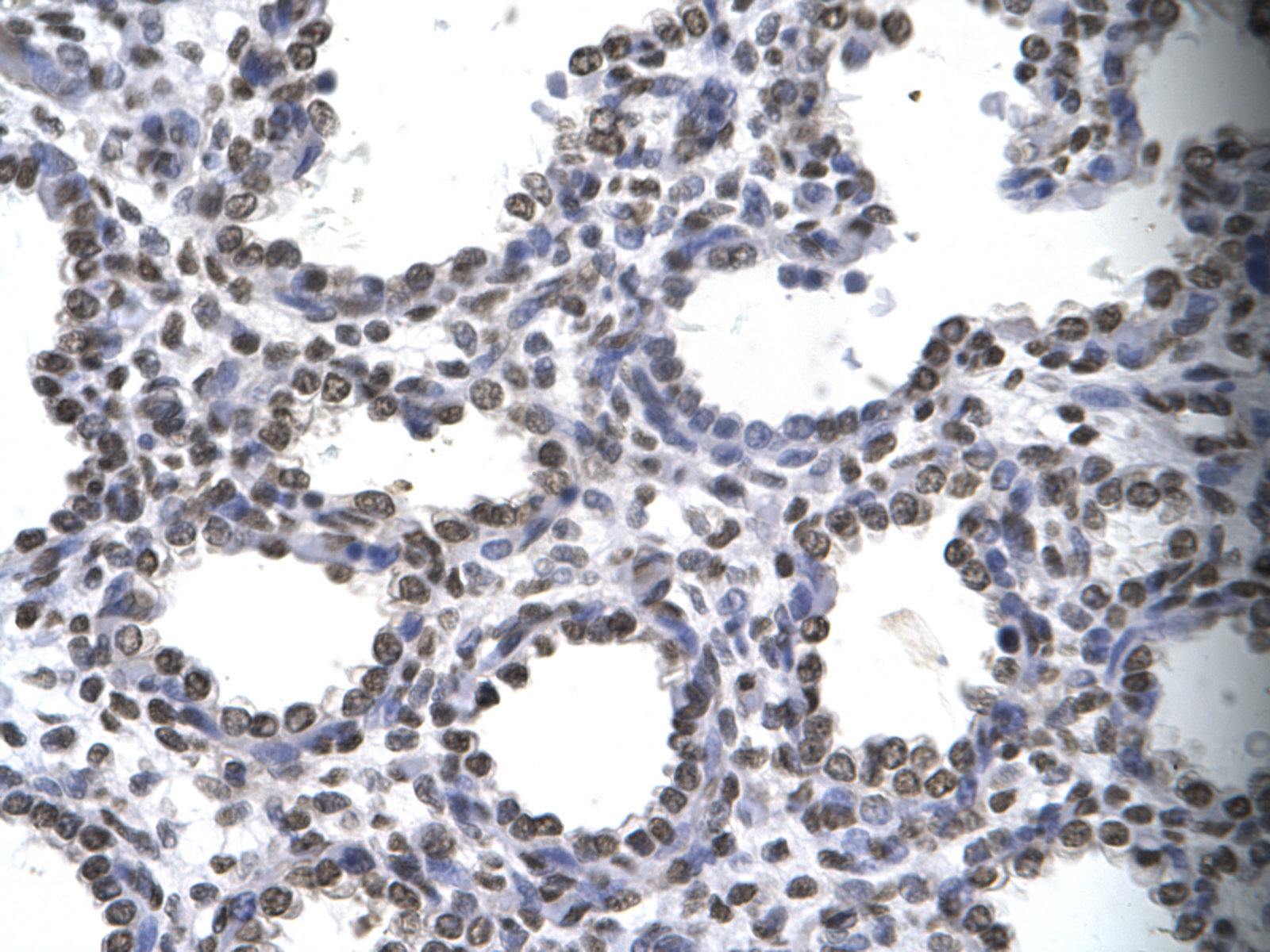
Supportive validation
- Submitted by
- antibodies-online (provider)
- Main image

- Experimental details
- Human Lung; . Rabbit Anti-MYEF2 Antibody. . ARP32738 . Paraffin Embedded Tissue: Human alveolar cell . Cellular Data: Epithelial cells of renal tubule. Antibody Concentration: 4.0-8.0 ug/ml. Magnification: 400X
- Submitted by
- antibodies-online (provider)
- Main image

- Experimental details
- Human Lung; MYEF2 antibody - middle region (AP42135PU-N) in Human Lung cells using Immunohistochemistry