Antibody data
- Antibody Data
- Antigen structure
- References [0]
- Comments [0]
- Validations
- Western blot [1]
- Immunohistochemistry [2]
- Flow cytometry [1]
Submit
Validation data
Reference
Comment
Report error
- Product number
- TA500500 - Provider product page

- Provider
- OriGene
- Proper citation
- OriGene Cat#TA500500, RRID:AB_2141719
- Product name
- Anti-MAPK12 (SAPK3) mouse monoclonal antibody, clone OTI10E1 (formerly 10E1)
- Antibody type
- Monoclonal
- Description
- Anti-MAPK12 (SAPK3) mouse monoclonal antibody, clone OTI10E1 (formerly 10E1)
- Host
- Mouse
- Conjugate
- Unconjugated
- Epitope
- MAPK12
- Isotype
- IgG
- Antibody clone number
- OTI10E1
- Vial size
- 100 µl
- Concentration
- 1.00mg/ml
No comments: Submit comment
Supportive validation
- Submitted by
- OriGene (provider)
- Main image

- Experimental details
- HEK293T cells were transfected with the pCMV6-ENTRY control (Left lane) or pCMV6-ENTRY MAPK12 (RC204857, Right lane) cDNA for 48 hrs and lysed. Equivalent amounts of cell lysates (5 ug per lane) were separated by SDS-PAGE and immunoblotted with anti-MAPK12.
- Validation comment
- WB
Supportive validation
- Submitted by
- OriGene (provider)
- Main image

- Experimental details
- Immunohistochemical staining of paraffin-embedded Human pancreas tissue within the normal limits using anti-MAPK12 mouse monoclonal antibody. (Heat-induced epitope retrieval by 10mM citric buffer, pH6.0, 100C for 10min, TA500500)
- Validation comment
- IHC
- Submitted by
- OriGene (provider)
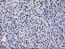
- Main image

- Experimental details
- Immunohistochemical staining of paraffin-embedded Human breast tissue within the normal limits using anti-MAPK12 mouse monoclonal antibody. (Heat-induced epitope retrieval by 10mM citric buffer, pH6.0, 100C for 10min, TA500500)
- Validation comment
- IHC
Supportive validation
- Submitted by
- OriGene (provider)
- Main image

- Experimental details
- HEK293T cells transfected with either RC204857 overexpress plasmid(Red) or empty vector control plasmid(Blue) were immunostained by anti-MAPK12 antibody(TA500500), and then analyzed by flow cytometry.
- Validation comment
- FC