Antibody data
- Antibody Data
- Antigen structure
- References [1]
- Comments [0]
- Validations
- Immunohistochemistry [3]
Submit
Validation data
Reference
Comment
Report error
- Product number
- NB100-94906 - Provider product page

- Provider
- Novus Biologicals
- Proper citation
- Novus Cat#NB100-94906, RRID:AB_1236992
- Product name
- Goat Polyclonal Frizzled-9 Antibody
- Antibody type
- Polyclonal
- Description
- Immunogen affinity purified.
- Reactivity
- Human
- Host
- Goat
- Antigen sequence
C-TKTDPSLENPTH- Isotype
- IgG
- Vial size
- 0.1 mg
- Concentration
- 0.5 mg/ml
- Storage
- Store at -20C. Avoid freeze-thaw cycles.
Submitted references Antitumorigenic effect of Wnt 7a and Fzd 9 in non-small cell lung cancer cells is mediated through ERK-5-dependent activation of peroxisome proliferator-activated receptor gamma.
Winn RA, Van Scoyk M, Hammond M, Rodriguez K, Crossno JT Jr, Heasley LE, Nemenoff RA
The Journal of biological chemistry 2006 Sep 15;281(37):26943-50
The Journal of biological chemistry 2006 Sep 15;281(37):26943-50
No comments: Submit comment
Supportive validation
- Submitted by
- Novus Biologicals (provider)
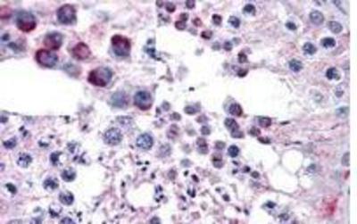
- Main image

- Experimental details
- Immunohistochemistry-Paraffin: Frizzled-9 Antibody [NB100-94906] - staining of paraffin embedded Human Testis. Steamed antigen retrieval with citrate buffer pH 6, AP-staining.
- Submitted by
- Novus Biologicals (provider)
- Main image

- Experimental details
- Immunohistochemistry-Paraffin: Frizzled-9 Antibody [NB100-94906] - Staining of paraffin embedded Human Testis. Antibody at 5 ug/mL. Steamed antigen retrieval with citrate buffer pH 6, AP-staining.
- Submitted by
- Novus Biologicals (provider)
- Main image

- Experimental details
- Immunohistochemistry-Paraffin: Frizzled-9 Antibody [NB100-94906] - Staining of paraffin embedded Human Thyroid. Antibody at 5 ug/mL. Steamed antigen retrieval with citrate buffer pH 6, AP-staining.