M00142-1
antibody from Boster Biological Technology
Targeting: BCL6
BCL5, BCL6A, LAZ3, ZBTB27, ZNF51
Antibody data
- Antibody Data
- Antigen structure
- References [0]
- Comments [0]
- Validations
- Immunohistochemistry [1]
Submit
Validation data
Reference
Comment
Report error
- Product number
- M00142-1 - Provider product page

- Provider
- Boster Biological Technology
- Product name
- Anti-Bcl-6 Rabbit Monoclonal Antibody
- Antibody type
- Monoclonal
- Description
- Monoclonal antibody for Bcl-6/BCL6 detection. Host: Rabbit.Size: 100ug/vial. Tested applications: IP, IF, IHC, ICC, WB. Reactive species: Human Bcl-6/BCL6 information: Molecular Weight: 78846 MW; Subcellular Localization: Nucleus ; Tissue Specificity: Expressed in germinal center T- and B-cells and in primary immature dendritic cells.
- Reactivity
- Human
- Host
- Rabbit
- Antibody clone number
- BAF-2
- Vial size
- 100ug/vial
- Concentration
- 0.5-1mg/ml, actual concentration vary by lot. Use suggested dilution ratio to decide dilution procedure.
- Storage
- At -20°C for one year. Avoid repeated freezing and thawing.
No comments: Submit comment
Supportive validation
- Submitted by
- Boster Biological Technology (provider)
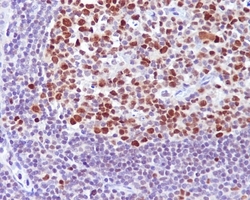
- Main image

- Experimental details
- Immunohistochemical analysis of paraffin-embedded human tonsil, using Bcl-6 Antibody(M00142-1)BCL6 was detected in paraffin-embedded tissue section. Heat mediated antigen retrieval was performed in citrate buffer (pH6, epitope retrieval solution) for 20 mins. The tissue section was blocked with 10% goat serum. The tissue section was then incubated with 1ug/ml rabbit anti-BCL6 Antibody (M00142-1)overnight at 4?? Biotinylated goat anti-rabbit IgG was used as secondary antibody and incubated for 30 minutes at 37?? The tissue section was developed using Strepavidin-Biotin-Complex (SABC)(Catalog # SA1022) with DAB as the chromogen.
- Additional image
