Antibody data
- Antibody Data
- Antigen structure
- References [1]
- Comments [0]
- Validations
- Immunohistochemistry [2]
Submit
Validation data
Reference
Comment
Report error
- Product number
- NBP1-91056 - Provider product page

- Provider
- Novus Biologicals
- Proper citation
- Novus Cat#NBP1-91056, RRID:AB_11048484
- Product name
- Rabbit Polyclonal COL22A1 Antibody
- Antibody type
- Polyclonal
- Description
- Immunogen affinity purified. Specificity of human COL22A1 antibody verified on a Protein Array containing target protein plus 383 other non-specific proteins.
- Reactivity
- Human
- Host
- Rabbit
- Isotype
- IgG
- Vial size
- 0.1 ml
- Storage
- Store at 4C short term. Aliquot and store at -20C long term. Avoid freeze-thaw cycles.
Submitted references A Human Skin Model Recapitulates Systemic Sclerosis Dermal Fibrosis and Identifies COL22A1 as a TGFβ Early Response Gene that Mediates Fibroblast to Myofibroblast Transition.
Watanabe T, Baker Frost DA, Mlakar L, Heywood J, da Silveira WA, Hardiman G, Feghali-Bostwick C
Genes 2019 Jan 22;10(2)
Genes 2019 Jan 22;10(2)
No comments: Submit comment
Supportive validation
- Submitted by
- Novus Biologicals (provider)
- Main image

- Experimental details
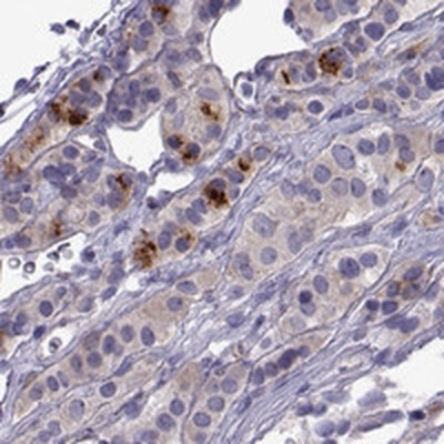
- Immunohistochemistry-Paraffin: COL22A1 Antibody [NBP1-91056] - Staining of human anterior pituitary gland shows strong cytoplasmic positivity in a subset of glandular cells.
- Submitted by
- Novus Biologicals (provider)
- Main image

- Experimental details
- Immunohistochemistry-Paraffin: COL22A1 Antibody [NBP1-91056] - Staining of human urinary bladder shows strong cytoplasmic positivity in urothelial cells.