Antibody data
- Antibody Data
- Antigen structure
- References [0]
- Comments [0]
- Validations
- Western blot [2]
- Immunocytochemistry [1]
- Immunoprecipitation [1]
- Immunohistochemistry [1]
Submit
Validation data
Reference
Comment
Report error
- Product number
- GTX105720 - Provider product page

- Provider
- GeneTex
- Proper citation
- GeneTex Cat#GTX105720, RRID:AB_1949684
- Product name
- DRIL1 antibody [N2C2], Internal
- Antibody type
- Polyclonal
- Reactivity
- Human, Mouse
- Host
- Rabbit
No comments: Submit comment
Supportive validation
- Submitted by
- GeneTex (provider)
- Main image

- Experimental details
- DRIL1 antibody [N2C2], Internal detects ARID3A protein by Western blot analysis.A. 30 ?g HepG2 whole cell lysate/extract7.5 % SDS-PAGEDRIL1 antibody [N2C2], Internal (GTX105720) dilution: 1:1000
- Submitted by
- GeneTex (provider)
- Main image

- Experimental details
- DRIL1 antibody [N2C2], Internal detects ARID3A protein by Western blot analysis.A. 30 ?g BCL-1 whole cell lysate/extract7.5 % SDS-PAGEDRIL1 antibody [N2C2], Internal (GTX105720) dilution: 1:1000
Supportive validation
- Submitted by
- GeneTex (provider)
- Main image

- Experimental details
- Confocal immunofluorescence analysis (Olympus FV10i) of paraformaldehyde-fixed HeLa, using DRIL1(GTX105720) antibody (Green) at 1:500 dilution. Alpha-tubulin filaments were labeled with GTX11304 (Red) at 1:2000.
Supportive validation
- Submitted by
- GeneTex (provider)
- Main image

- Experimental details
- DRIL1 antibody immunoprecipitates DRIL1 protein in IP experiments. IP Sample: 293T whole cell lysate/extract A. 40 £gg 293T whole cell lysate/extract B. Control with 2 £gg of preimmune rabbit IgG C. Immunoprecipitation of DRIL1 protein by 2 £gg of DRIL1 antibody (GTX105720) 7.5% SDS-PAGE The immunoprecipitated DRIL1 protein was detected by DRIL1 antibody (GTX105720) diluted at 1:1000. EasyBlot anti-rabbit IgG (GTX221666-01) was used as a secondary reagent.
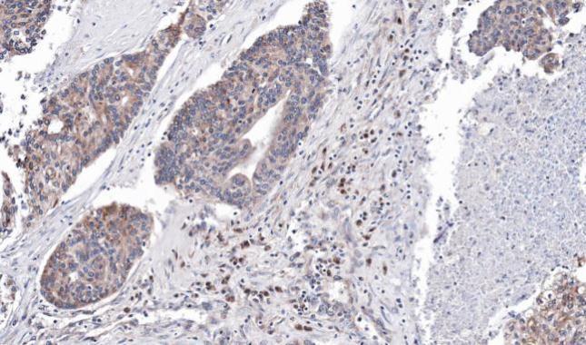
Supportive validation
- Submitted by
- GeneTex (provider)
- Main image

- Experimental details
- Immunohistochemical analysis of paraffin-embedded human ovarian cancer, using ARID3A(GTX105720) antibody at 1:100 dilution.