Antibody data
- Antibody Data
- Antigen structure
- References [0]
- Comments [0]
- Validations
- Western blot [1]
- Immunoprecipitation [4]
- Immunohistochemistry [3]
Submit
Validation data
Reference
Comment
Report error
- Product number
- LS-C409222 - Provider product page

- Provider
- LSBio
- Product name
- ARID3A / DRIL1 Antibody LS-C409222
- Antibody type
- Polyclonal
- Description
- Affinity purified
- Reactivity
- Human, Mouse, Rat
- Host
- Rabbit
- Isotype
- IgG
- Storage
- Store at -20°C. Avoid freeze-thaw cycles.
No comments: Submit comment
Enhanced validation
- Submitted by
- LSBio (provider)
- Enhanced method
- Genetic validation
- Main image

- Experimental details
- Western blot analysis of extracts of various cells.
Supportive validation
- Submitted by
- LSBio (provider)
- Enhanced method
- Genetic validation
- Main image

- Experimental details
- Immunoprecipitation analysis of 150ug extracts of MCF7 cells.
- Submitted by
- LSBio (provider)
- Main image

- Experimental details
- Immunoprecipitation analysis of 150ug extracts of MCF7 cells.
- Submitted by
- LSBio (provider)
- Main image

- Experimental details
- Immunoprecipitation analysis of 150ug extracts of MCF7 cells.
- Submitted by
- LSBio (provider)
- Main image

- Experimental details
- Immunoprecipitation analysis of 150ug extracts of MCF7 cells.
Supportive validation
- Submitted by
- LSBio (provider)
- Enhanced method
- Genetic validation
- Main image

- Experimental details
- Immunohistochemistry of paraffin-embedded rat ileum tissue.
- Submitted by
- LSBio (provider)
- Enhanced method
- Genetic validation
- Main image

- Experimental details
- Immunohistochemistry of paraffin-embedded human oophoroma tissue.
- Submitted by
- LSBio (provider)
- Enhanced method
- Genetic validation
- Main image

- Experimental details
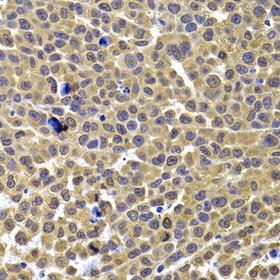
- Immunohistochemistry of paraffin-embedded mouse cancer tissue.