Antibody data
- Antibody Data
 - Antigen structure
 - References [0]
 - Comments [0]
 - Validations
 - Immunohistochemistry [1]
 
Submit
Validation data
Reference
Comment
Report error
- Product number
 - bs-2598R - Provider product page

 - Provider
 - Bioss
 - Proper citation
 - Bioss Cat#bs-2598R, RRID:AB_10857542
 - Product name
 - Rabbit Anti-IL-3 Polyclonal Antibody
 - Antibody type
 - Polyclonal
 - Antigen
 - IL-3
 - Description
 - Purified by Protein A.
 - Reactivity
 - Mouse, Rat
 - Host
 - Rabbit
 - Conjugate
 - Unconjugated
 - Isotype
 - IgG
 - Vial size
 - 100ul
 - Concentration
 - 1ug/ul
 - Storage
 - Aqueous buffered solution containing 100ug/ml BSA, 50% glycerol and 0.09% sodium azide. Store at -20°C for 12 months.
 
				No comments: Submit comment	
	
			
							
					Supportive validation
					
									
				
		- Submitted by
 - Bioss (provider)
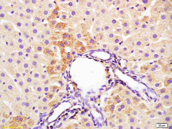
 - Main image
 
- Experimental details
 - Formalin-fixed and paraffin embedded rat liver labeled with Anti-IL-3 Polyclonal Antibody, Unconjugated (bs-2598R) at 1:200 followed by conjugation to the secondary antibody and DAB staining
 - Sample type
 - Rat
 - Other comments
 - Liver