Antibody data
- Antibody Data
- Antigen structure
- References [0]
- Comments [0]
- Validations
- Western blot [2]
- Immunocytochemistry [1]
- Immunohistochemistry [9]
Submit
Validation data
Reference
Comment
Report error
- Product number
- PA5-54017 - Provider product page

- Provider
- Invitrogen Antibodies
- Product name
- EVL Polyclonal Antibody
- Antibody type
- Polyclonal
- Antigen
- Recombinant full-length protein
- Description
- Immunogen sequence: SNSVEKPVSS ILSRMKPAGS VNDMALDAFD LDRMKQEILE EVVRELHKVK EEIIDAIRQE LSGI
- Concentration
- 0.5 mg/mL
No comments: Submit comment
Supportive validation
- Submitted by
- Invitrogen Antibodies (provider)
- Main image

- Experimental details
- Western blot analysis of EVL in Lane 1: Marker (kDa) 250, 130, 100, 70, 55, 35, 25, 15, 10; Lane 2: Human cell line MOLT-4. Samples were probed using an EVL Polyclonal Antibody (Product # PA5-54017).
- Submitted by
- Invitrogen Antibodies (provider)
- Main image

- Experimental details
- Western blot analysis of EVL in Lane 1: Marker (kDa) 250, 130, 100, 70, 55, 35, 25, 15, 10; Lane 2: Human cell line MOLT-4. Samples were probed using an EVL Polyclonal Antibody (Product # PA5-54017).
Supportive validation
- Submitted by
- Invitrogen Antibodies (provider)
- Main image

- Experimental details
- Immunofluorescent staining of EVL in human cell line U-2 OS shows positivity in cytoplasm. Samples were probed using an EVL Polyclonal Antibody (Product # PA5-54017).
Supportive validation
- Submitted by
- Invitrogen Antibodies (provider)
- Main image

- Experimental details
- Immunohistochemical staining of EVL in human skeletal muscle using EVL Polyclonal Antibody (Product # PA5-54017) shows no positivity in myocytes as expected.
- Submitted by
- Invitrogen Antibodies (provider)
- Main image

- Experimental details
- Immunohistochemical staining of EVL in human lung using EVL Polyclonal Antibody (Product # PA5-54017) shows moderate to strong cytoplasmic positivity in macrophages.
- Submitted by
- Invitrogen Antibodies (provider)
- Main image

- Experimental details
- Immunohistochemical staining of EVL in human lymph node and skeletal muscle tissues using EVL Polyclonal Antibody (Product # PA5-54017). Corresponding EVL RNA-seq data are presented for the same tissues.
- Submitted by
- Invitrogen Antibodies (provider)
- Main image

- Experimental details
- Immunohistochemical staining of EVL in human lung, lymph node, skeletal muscle and small intestine using EVL Polyclonal Antibody (Product # PA5-54017) (A) shows similar protein distribution across tissues to an independent EVL Polyclonal Antibody (B).
- Submitted by
- Invitrogen Antibodies (provider)
- Main image

- Experimental details
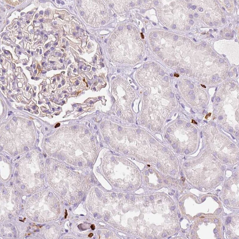
- Immunohistochemical staining of EVL in human kidney using EVL Polyclonal Antibody (Product # PA5-54017) shows no positivity in cells in tubules as expected.
- Submitted by
- Invitrogen Antibodies (provider)
- Main image

- Experimental details
- Immunohistochemical staining of EVL in human skeletal muscle using EVL Polyclonal Antibody (Product # PA5-54017) shows no positivity in myocytes as expected.
- Submitted by
- Invitrogen Antibodies (provider)
- Main image

- Experimental details
- Immunohistochemical staining of EVL in human lymph node using EVL Polyclonal Antibody (Product # PA5-54017) shows moderate to strong cytoplasmic positivity in non-germinal center cells.
- Submitted by
- Invitrogen Antibodies (provider)
- Main image

- Experimental details
- Immunohistochemical staining of EVL in human small intestine using EVL Polyclonal Antibody (Product # PA5-54017) shows moderate to strong cytoplasmic positivity in lymphoid cells.
- Submitted by
- Invitrogen Antibodies (provider)
- Main image

- Experimental details
- Immunohistochemical staining of EVL in human lung using EVL Polyclonal Antibody (Product # PA5-54017) shows moderate to strong cytoplasmic positivity in macrophages.