Antibody data
- Antibody Data
- Antigen structure
- References [0]
- Comments [0]
- Validations
- Western blot [1]
- Immunohistochemistry [3]
Submit
Validation data
Reference
Comment
Report error
- Product number
- TA345470 - Provider product page

- Provider
- OriGene
- Product name
- Rabbit Polyclonal Anti-CPXCR1 Antibody
- Antibody type
- Polyclonal
- Description
- Rabbit Polyclonal Anti-CPXCR1 Antibody
- Host
- Rabbit
- Conjugate
- Unconjugated
- Epitope
- CPXCR1
- Isotype
- IgG
- Antibody clone number
- NULL
- Vial size
- 100 µl
- Concentration
- NULL
No comments: Submit comment
Supportive validation
- Submitted by
- OriGene (provider)
- Main image

- Experimental details
- WB Suggested Anti-CPXCR1 Antibody Titration: 1 ug/ml; Positive Control: Fetal Brain Lysate
- Validation comment
- WB
Supportive validation
- Submitted by
- OriGene (provider)
- Main image

- Experimental details
- Anti-CPXCR1 antibody IHC staining of human testis. Immunohistochemistry of formalin-fixed, paraffin-embedded tissue after heat-induced antigen retrieval. Antibody concentration 10 ug/ml.
- Validation comment
- IHC
- Submitted by
- OriGene (provider)
- Main image

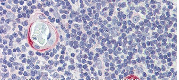
- Experimental details
- Anti-CPXCR1 antibody IHC staining of human thymus. Immunohistochemistry of formalin-fixed, paraffin-embedded tissue after heat-induced antigen retrieval. Antibody concentration 10 ug/ml.
- Validation comment
- IHC
- Submitted by
- OriGene (provider)
- Main image

- Experimental details
- Rabbit Anti-CPXCR1 Antibody; Paraffin Embedded Tissue: Human Tymus; Antibody Concentration: 10 ug/ml
- Validation comment
- IHC