Antibody data
- Antibody Data
- Antigen structure
- References [0]
- Comments [0]
- Validations
- Western blot [1]
- Immunocytochemistry [1]
- Immunohistochemistry [1]
Submit
Validation data
Reference
Comment
Report error
- Product number
- 73-443 - Provider product page

- Provider
- Antibodies Incorporated / NeuroMab
- Product name
- Anti-Gephyrin
- Antibody type
- Monoclonal
- Description
- TC Supernatant
- Reactivity
- Human, Mouse, Rat
- Host
- Mouse
- Conjugate
- Unconjugated
- Isotype
- IgG
- Antibody clone number
- L106/83
- Vial size
- 5 mL
- Concentration
- Lot dependent
- Storage
- Aliquot and store at -20 degrees Celsius
No comments: Submit comment
Supportive validation
- Submitted by
- Antibodies Incorporated / NeuroMab (provider)
- Main image

- Experimental details
- Adult rat brain membrane immunoblot.
Supportive validation
- Submitted by
- Antibodies Incorporated / NeuroMab (provider)
- Main image

- Experimental details
- Array tomography immunofluorescence of an LRWhite-embedded 70 nm section from adult mouse cortex with L106/83 (green), rabbit mAb GAD2 (Cell Signaling #5843, magenta) and DAPI (blue). The insert shows three consecutive sections through the synapse that is marked with a white box. Image courtesy of Kristina Micheva (Stanford).
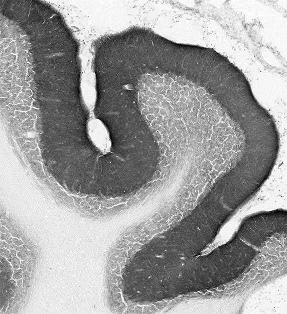
Supportive validation
- Submitted by
- Antibodies Incorporated / NeuroMab (provider)
- Main image

- Experimental details
- Adult rat cerebellum immunohistochemistry.