Antibody data
- Antibody Data
- Antigen structure
- References [0]
- Comments [0]
- Validations
- Western blot [1]
- Immunohistochemistry [4]
Submit
Validation data
Reference
Comment
Report error
- Product number
- RZ1100 - Provider product page

- Provider
- NSJ Bioreagents
- Product name
- Zebrafish Gephyrin Antibody / Gphna / Gphnb
- Antibody type
- Polyclonal
- Description
- Antigen affinity purified
- Reactivity
- Zebrafish
- Host
- Rabbit
- Vial size
- 100 ug
- Concentration
- Lyophilized
- Storage
- After reconstitution, the Zebrafish Gephyrin antibody can be stored for up to one month at 4oC. For long-term, aliquot and store at -20oC. Avoid repeated freezing and thawing.
No comments: Submit comment
Supportive validation
- Submitted by
- NSJ Bioreagents (provider)
- Main image

- Experimental details
- Western blot analysis of GPHNa/b protein using Zebrafish Gephyrin antibody and zebrafish head tissue lysate. The predicted molecular weight of GPHNa/b is ~80 kDa, commonly observed at ~93 kDa.
Supportive validation
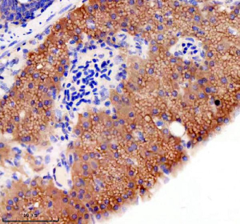
- Submitted by
- NSJ Bioreagents (provider)
- Main image

- Experimental details
- Immunohistochemical analysis of GPHNa/b protein using Zebrafish Gephyrin antibody and paraffin-embedded zebrafish brain tissue. HIER: boil tissue sections in pH8 EDTA for 20 min and allow to cool before testing.
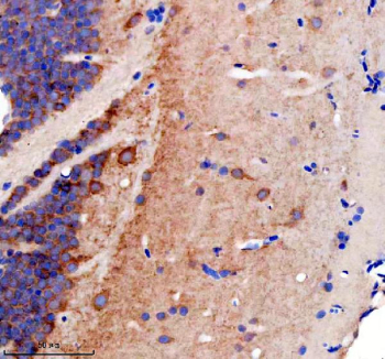
- Submitted by
- NSJ Bioreagents (provider)
- Main image

- Experimental details
- Immunohistochemical analysis of GPHNa/b protein using Zebrafish Gephyrin antibody and paraffin-embedded zebrafish pancreas tissue. HIER: boil tissue sections in pH8 EDTA for 20 min and allow to cool before testing.
- Submitted by
- NSJ Bioreagents (provider)
- Main image

- Experimental details
- Immunohistochemical analysis of GPHNa/b protein using Zebrafish Gephyrin antibody and paraffin-embedded zebrafish colon tissue. HIER: boil tissue sections in pH8 EDTA for 20 min and allow to cool before testing.
- Submitted by
- NSJ Bioreagents (provider)
- Main image

- Experimental details
- Immunohistochemical analysis of GPHNa/b protein using Zebrafish Gephyrin antibody and paraffin-embedded zebrafish spinal cord tissue. HIER: boil tissue sections in pH8 EDTA for 20 min and allow to cool before testing.