Antibody data
- Antibody Data
- Antigen structure
- References [0]
- Comments [0]
- Validations
- Western blot [1]
- Immunocytochemistry [1]
- Immunohistochemistry [3]
- Flow cytometry [2]
Submit
Validation data
Reference
Comment
Report error
- Product number
- R32475 - Provider product page

- Provider
- NSJ Bioreagents
- Product name
- Cyclin T1 Antibody
- Antibody type
- Polyclonal
- Description
- This highly specific Cyclin T1 antibody is suitable for use in Western blot/Immunohistochemistry/Immunofluorescence/Immunocytochemistry/Flow cytometry applications with human, mouse and rat samples.
- Reactivity
- Human, Mouse, Rat
- Host
- Rabbit
- Conjugate
- Unconjugated
- Vial size
- 100 ug
- Concentration
- 0.5mg/ml if reconstituted with 0.2ml sterile DI water
- Storage
- Prior to reconstitution, store at 4oC. After reconstitution, the Cyclin T1 antibody can be stored for up to one month at 4oC. For long-term, aliquot and store at -20oC. Avoid repeated freezing and thawing.
No comments: Submit comment
Supportive validation
- Submitted by
- NSJ Bioreagents (provider)
- Main image

- Experimental details
- Western blot testing of 1) rat kidney, 2) mouse spleen and 3) human Jurkat lysate with Cyclin T1 antibody at 0.5ug/ml. Predicted/observed molecular weight ~81 kDa.
Supportive validation
- Submitted by
- NSJ Bioreagents (provider)
- Main image

- Experimental details
- IF/ICC staining of FFPE human A431 cells with Cyclin T1 antibody (red) at 2ug/ml and DAPI nuclear stain (blue). HIER: steam section in pH6 citrate buffer for 20 min.
Supportive validation
- Submitted by
- NSJ Bioreagents (provider)
- Main image

- Experimental details
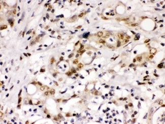
- IHC testing of FFPE human intestine cancer tissue with Cyclin T1 antibody at 1ug/ml. HIER: steam in pH6 citrate buffer and allow to cool prior to staining.
- Submitted by
- NSJ Bioreagents (provider)
- Main image

- Experimental details
- IHC testing of FFPE mouse intestine with Cyclin T1 antibody at 1ug/ml. HIER: steam in pH6 citrate buffer and allow to cool prior to staining.
- Submitted by
- NSJ Bioreagents (provider)
- Main image

- Experimental details
- IHC testing of FFPE rat intestine with Cyclin T1 antibody at 1ug/ml. HIER: steam in pH6 citrate buffer and allow to cool prior to staining.
Supportive validation
- Submitted by
- NSJ Bioreagents (provider)
- Main image

- Experimental details
- Flow cytometry testing of human U-2 OS cells with Cyclin T1 antibody at 1ug/10^6 cells (blocked with goat sera); Red=cells alone, Green=isotype control, Blue= Cyclin T1 antibody.
- Submitted by
- NSJ Bioreagents (provider)
- Main image

- Experimental details
- Flow cytometry testing of human U937 cells with Cyclin T1 antibody at 1ug/10^6 cells (blocked with goat sera); Red=cells alone, Green=isotype control, Blue= Cyclin T1 antibody.