Antibody data
- Antibody Data
- Antigen structure
- References [2]
- Comments [0]
- Validations
- Immunohistochemistry [6]
Submit
Validation data
Reference
Comment
Report error
- Product number
- NBP1-87928 - Provider product page

- Provider
- Novus Biologicals
- Proper citation
- Novus Cat#NBP1-87928, RRID:AB_11017293
- Product name
- Rabbit Polyclonal FoxJ1/HFH4 Antibody
- Antibody type
- Polyclonal
- Description
- Immunogen affinity purified. Specificity of human FoxJ1/HFH4 antibody verified on a Protein Array containing target protein plus 383 other non-specific proteins.
- Reactivity
- Human
- Host
- Rabbit
- Isotype
- IgG
- Vial size
- 0.1 ml
- Storage
- Store at 4C short term. Aliquot and store at -20C long term. Avoid freeze-thaw cycles.
Submitted references A novel in vitro model of primary human pediatric lung epithelial cells.
miR-34/449 miRNAs are required for motile ciliogenesis by repressing cp110.
Wang Q, Bhattacharya S, Mereness JA, Anderson C, Lillis JA, Misra RS, Romas S, Huyck H, Howell A, Bandyopadhyay G, Donlon K, Myers JR, Ashton J, Pryhuber GS, Mariani TJ
Pediatric research 2020 Feb;87(3):511-517
Pediatric research 2020 Feb;87(3):511-517
miR-34/449 miRNAs are required for motile ciliogenesis by repressing cp110.
Song R, Walentek P, Sponer N, Klimke A, Lee JS, Dixon G, Harland R, Wan Y, Lishko P, Lize M, Kessel M, He L
Nature 2014 Jun 5;510(7503):115-20
Nature 2014 Jun 5;510(7503):115-20
No comments: Submit comment
Supportive validation
- Submitted by
- Novus Biologicals (provider)
- Main image

- Experimental details
- Immunohistochemistry-Paraffin: FoxJ1/HFH4 Antibody [NBP1-87928] - Staining of human testis shows moderate nuclear positivity in a subset of cells in seminiferous ducts.
- Submitted by
- Novus Biologicals (provider)
- Main image

- Experimental details
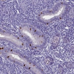
- Immunohistochemistry-Paraffin: FoxJ1/HFH4 Antibody [NBP1-87928] - Staining of human fallopian tube shows strong nuclear positivity in a subset of glandular cells.
- Submitted by
- Novus Biologicals (provider)
- Main image

- Experimental details
- Immunohistochemistry-Paraffin: FoxJ1/HFH4 Antibody [NBP1-87928] - Staining of human endometrium shows strong nuclear positivity in a subset of glandular cells.
- Submitted by
- Novus Biologicals (provider)
- Main image

- Experimental details
- Immunohistochemistry-Paraffin: FoxJ1/HFH4 Antibody [NBP1-87928] - Staining of human liver shows no positivity as expected.
- Submitted by
- Novus Biologicals (provider)
- Main image

- Experimental details
- Immunohistochemistry-Paraffin: FoxJ1/HFH4 Antibody [NBP1-87928] - Staining in human fallopian tube and liver tissues. Corresponding FOXJ1 RNA-seq data are presented for the same tissues.
- Submitted by
- Novus Biologicals (provider)
- Main image

- Experimental details
- Immunohistochemistry-Frozen: FoxJ1/HFH4 Antibody [NBP1-87928] - Staining of FoxJ1 in airway epithelium of mouse. Image from verified customer review.