17301-1-AP
antibody from Proteintech Group
Targeting: HSD17B11
17-BETA-HSD11, 17-BETA-HSDXI, DHRS8, PAN1B, RetSDR2, SDR16C2
Antibody data
- Antibody Data
- Antigen structure
- References [1]
- Comments [0]
- Validations
- Western blot [1]
- Immunohistochemistry [2]
Submit
Validation data
Reference
Comment
Report error
- Product number
- 17301-1-AP - Provider product page

- Provider
- Proteintech Group
- Proper citation
- Proteintech Cat#17301-1-AP, RRID:AB_2119810
- Product name
- HSD17B11 antibody
- Antibody type
- Polyclonal
- Description
- HSD17B11 antibody (Cat. #17301-1-AP) is a rabbit polyclonal antibody that shows reactivity with human, mouse, rat and has been validated for the following applications: IHC, WB,ELISA.
- Reactivity
- Human, Mouse, Rat
- Host
- Rabbit
- Conjugate
- Unconjugated
- Isotype
- IgG
- Vial size
- 20ul, 150ul
Submitted references Identification of ferroptotic genes and phenotypes in idiopathic nonobstructive azoospermia.
Liao C, Peng TW, Li XM, Chen ZC, Wang MY, Ye X, Lan Y, Fu X, An G
Systems biology in reproductive medicine 2023 Dec;69(6):410-422
Systems biology in reproductive medicine 2023 Dec;69(6):410-422
No comments: Submit comment
Supportive validation
- Submitted by
- Proteintech Group (provider)
- Main image

- Experimental details
- mouse liver tissue were subjected to SDS PAGE followed by western blot with 17301-1-AP(HSD17B11 antibody) at dilution of 1:800
- Sample type
- tissue
Supportive validation
- Submitted by
- Proteintech Group (provider)
- Main image

- Experimental details
- Immunohistochemical of paraffin-embedded human kidney using 17301-1-AP(HSD17B11 antibody) at dilution of 1:100 (under 10x lens)
- Sample type
- tissue
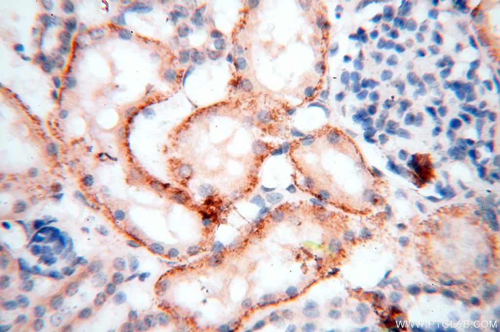
- Submitted by
- Proteintech Group (provider)
- Main image

- Experimental details
- The HSD17B11 antibody from Proteintech is a rabbit polyclonal antibody to a recombinant protein of human HSD17B11. This antibody recognizes human, mouse, rat antigen. The HSD17B11 antibody has been validated for the following applications: ELISA, WB, IHC analysis.