Antibody data
- Antibody Data
- Antigen structure
- References [0]
- Comments [0]
- Validations
- Immunocytochemistry [2]
- Immunohistochemistry [2]
- Flow cytometry [2]
Submit
Validation data
Reference
Comment
Report error
- Product number
- PA5-119867 - Provider product page

- Provider
- Invitrogen Antibodies
- Product name
- CLCNKB Polyclonal Antibody
- Antibody type
- Polyclonal
- Antigen
- Recombinant full-length protein
- Description
- Positive Control: Mouse testis tissue lysate, rat testis tissue lysate, MCF-7 cell lysate, human kidney tissue, human seminoma tissue, MG-63, A549. Subcellular Location: Cell membrane.
- Reactivity
- Human, Mouse, Rat
- Host
- Rabbit
- Isotype
- IgG
- Vial size
- 100 μL
- Concentration
- 1 mg/mL
- Storage
- Store at 4°C short term. For long term storage, store at -20°C, avoiding freeze/thaw cycles.
No comments: Submit comment
Supportive validation
- Submitted by
- Invitrogen Antibodies (provider)
- Main image

- Experimental details
- Immunocytochemistry-Immunofluorescence analysis of of CLCNKB in MG-63 cells (green). Formalin fixed cells were permeabilized with 0.1% Triton X-100 in TBS for 10 minutes at room temperature and blocked with 10% negative goat serum for 15 minutes at room temperature. Cells were probed with CLCNKB Polyclonal Antibody (Product # PA5-119867) at a dilution of 1:50 for 1 hour at room temperature, washed with PBS. Alexa Fluor 488 conjugate-Goat anti-Rabbit IgG was used as the secondary antibody at 1:1,000 dilution. The nuclear counter stain is DAPI (blue).
- Submitted by
- Invitrogen Antibodies (provider)
- Main image

- Experimental details
- Immunocytochemistry-Immunofluorescence analysis of of CLCNKB in MG-63 cells (green). Formalin fixed cells were permeabilized with 0.1% Triton X-100 in TBS for 10 minutes at room temperature and blocked with 10% negative goat serum for 15 minutes at room temperature. Cells were probed with CLCNKB Polyclonal Antibody (Product # PA5-119867) at a dilution of 1:50 for 1 hour at room temperature, washed with PBS. Alexa Fluor 488 conjugate-Goat anti-Rabbit IgG was used as the secondary antibody at 1:1,000 dilution. The nuclear counter stain is DAPI (blue).
Supportive validation
- Submitted by
- Invitrogen Antibodies (provider)
- Main image

- Experimental details
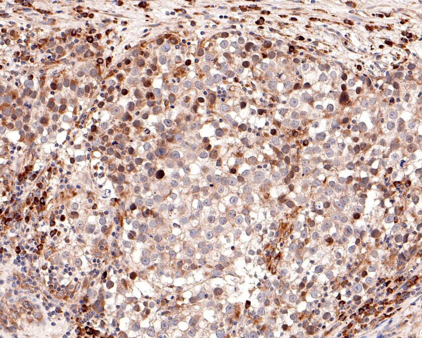
- Immunohistochemistry (Paraffin) analysis of paraffin-embedded human seminoma tissue using CLCNKB Polyclonal Antibody (Product # PA5-119867). The section was pre-treated using heat mediated antigen retrieval with Tris-EDTA buffer (pH 9.0) for 20 minutes. The tissues were blocked in 5% BSA for 30 minutes at room temperature, washed with ddH2O and PBS, and then probed with the CLCNKB antibody at a dilution of 1:400 for 30 minutes at room temperature. The detection was performed using an HRP conjugated compact polymer system. DAB was used as the chromogen. Tissues were counterstained with hematoxylin and mounted with DPX.
- Submitted by
- Invitrogen Antibodies (provider)
- Main image

- Experimental details
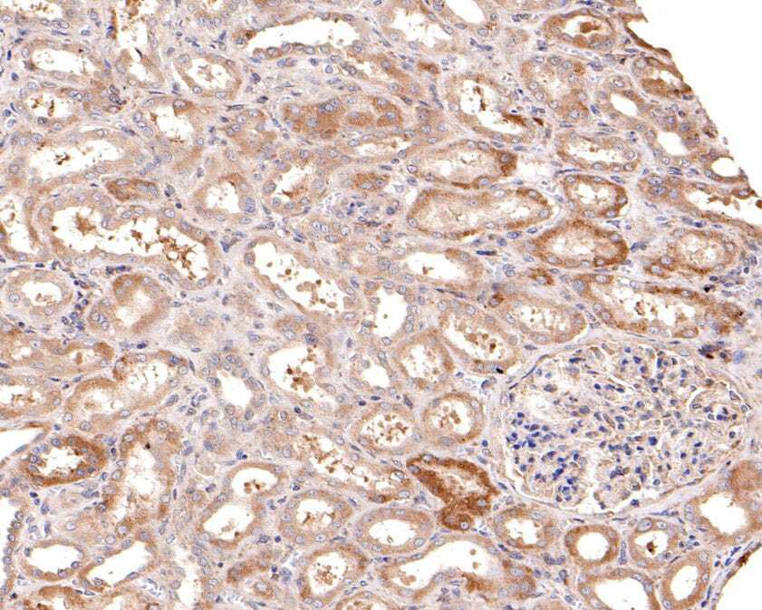
- Immunohistochemistry (Paraffin) analysis of paraffin-embedded human kidney tissue using CLCNKB Polyclonal Antibody (Product # PA5-119867). The section was pre-treated using heat mediated antigen retrieval with Tris-EDTA buffer (pH 9.0) for 20 minutes. The tissues were blocked in 5% BSA for 30 minutes at room temperature, washed with ddH2O and PBS, and then probed with the CLCNKB antibody at a dilution of 1:400 for 30 minutes at room temperature. The detection was performed using an HRP conjugated compact polymer system. DAB was used as the chromogen. Tissues were counterstained with hematoxylin and mounted with DPX.
Supportive validation
- Submitted by
- Invitrogen Antibodies (provider)
- Main image

- Experimental details
- Flow Cytometry analysis of CLCNKB in A549 cells using CLCNKB Polyclonal Antibody (Product # PA5-119867) at 1 µg/mL (red) compared with Rabbit IgG, monoclonal - Isotype Control (green). After incubation of the primary antibody at 4°C for 1 hour, the cells were stained with a Alexa Fluor 488 conjugate-Goat anti-Rabbit IgG Secondary antibody at 1:1,000 dilution for 30 min at 4°C (dark incubation). Unlabelled sample was used as a control (cells without incubation with primary antibody; black).
- Submitted by
- Invitrogen Antibodies (provider)
- Main image

- Experimental details
- Flow Cytometry analysis of CLCNKB in A549 cells using CLCNKB Polyclonal Antibody (Product # PA5-119867) at 1 µg/mL (red) compared with Rabbit IgG, monoclonal - Isotype Control (green). After incubation of the primary antibody at 4°C for 1 hour, the cells were stained with a Alexa Fluor 488 conjugate-Goat anti-Rabbit IgG Secondary antibody at 1:1,000 dilution for 30 min at 4°C (dark incubation). Unlabelled sample was used as a control (cells without incubation with primary antibody; black).