Antibody data
- Antibody Data
- Antigen structure
- References [11]
- Comments [0]
- Validations
- Western blot [1]
- Immunocytochemistry [1]
- Immunohistochemistry [1]
Submit
Validation data
Reference
Comment
Report error
- Product number
- 12085-2-AP - Provider product page

- Provider
- Proteintech Group
- Proper citation
- Proteintech Cat#12085-2-AP, RRID:AB_2117587
- Product name
- HMG20A antibody
- Antibody type
- Polyclonal
- Description
- KD/KO validated HMG20A antibody (Cat. #12085-2-AP) is a rabbit polyclonal antibody that shows reactivity with human, mouse, rat and has been validated for the following applications: IF, IHC, IP, WB, ELISA.
- Reactivity
- Human, Mouse, Rat
- Host
- Rabbit
- Conjugate
- Unconjugated
- Isotype
- IgG
- Vial size
- 20ul, 150ul
Submitted references Legionella pneumophila exploits the endo-lysosomal network for phagosome biogenesis by co-opting SUMOylated Rab7.
Gentianella acuta-derived Gen-miR-1 suppresses myocardial fibrosis by targeting HAX1/HMG20A/Smads axis to attenuate inflammation in cardiac fibroblasts.
KMT2A associates with PHF5A-PHF14-HMG20A-RAI1 subcomplex in pancreatic cancer stem cells and epigenetically regulates their characteristics.
Legionella pneumophila exploits the endo-lysosomal network for phagosome biogenesis by co-opting SUMOylated Rab7.
The H2A.Z and NuRD associated protein HMG20A controls early head and heart developmental transcription programs.
HMG20A was identified as a key enhancer driver associated with DNA damage repair in oral squamous cell carcinomas.
Retraction Note to: Circular RNA ABCB10 promotes hepatocellular carcinoma progression by increasing HMG20A expression by sponging miR-670-3p.
LSD1 inhibition induces differentiation and cell death in Merkel cell carcinoma.
Circular RNA ABCB10 promotes hepatocellular carcinoma progression by increasing HMG20A expression by sponging miR-670-3p.
Interactome of the inhibitory isoform of the nuclear transporter Importin 13.
The BRCA1-binding protein BRAP2 can act as a cytoplasmic retention factor for nuclear and nuclear envelope-localizing testicular proteins.
Li C, Fu J, Shao S, Luo ZQ
PLoS pathogens 2024 May;20(5):e1011783
PLoS pathogens 2024 May;20(5):e1011783
Gentianella acuta-derived Gen-miR-1 suppresses myocardial fibrosis by targeting HAX1/HMG20A/Smads axis to attenuate inflammation in cardiac fibroblasts.
Zhang T, Zhang Y, Li S, Ge H, Song Q, Zhang Y, Yang G, Li A
Phytomedicine : international journal of phytotherapy and phytopharmacology 2023 Sep;118:154923
Phytomedicine : international journal of phytotherapy and phytopharmacology 2023 Sep;118:154923
KMT2A associates with PHF5A-PHF14-HMG20A-RAI1 subcomplex in pancreatic cancer stem cells and epigenetically regulates their characteristics.
Mouti MA, Deng S, Pook M, Malzahn J, Rendek A, Militi S, Nibhani R, Soonawalla Z, Oppermann U, Hwang CI, Pauklin S
Nature communications 2023 Sep 14;14(1):5685
Nature communications 2023 Sep 14;14(1):5685
Legionella pneumophila exploits the endo-lysosomal network for phagosome biogenesis by co-opting SUMOylated Rab7.
Li C, Fu J, Shao S, Luo ZQ
bioRxiv : the preprint server for biology 2023 Oct 31;
bioRxiv : the preprint server for biology 2023 Oct 31;
The H2A.Z and NuRD associated protein HMG20A controls early head and heart developmental transcription programs.
Herchenröther A, Gossen S, Friedrich T, Reim A, Daus N, Diegmüller F, Leers J, Sani HM, Gerstner S, Schwarz L, Stellmacher I, Szymkowiak LV, Nist A, Stiewe T, Borggrefe T, Mann M, Mackay JP, Bartkuhn M, Borchers A, Lan J, Hake SB
Nature communications 2023 Jan 28;14(1):472
Nature communications 2023 Jan 28;14(1):472
HMG20A was identified as a key enhancer driver associated with DNA damage repair in oral squamous cell carcinomas.
Na L, Meijie Z, Wenjing Z, Bing Z, Yanhao D, Shanshan L, Yongle Q
BMC oral health 2022 Nov 5;22(1):473
BMC oral health 2022 Nov 5;22(1):473
Retraction Note to: Circular RNA ABCB10 promotes hepatocellular carcinoma progression by increasing HMG20A expression by sponging miR-670-3p.
Fu Y, Cai L, Lei X, Wang D
Cancer cell international 2020;20:485
Cancer cell international 2020;20:485
LSD1 inhibition induces differentiation and cell death in Merkel cell carcinoma.
Leiendecker L, Jung PS, Krecioch I, Neumann T, Schleiffer A, Mechtler K, Wiesner T, Obenauf AC
EMBO molecular medicine 2020 Nov 6;12(11):e12525
EMBO molecular medicine 2020 Nov 6;12(11):e12525
Circular RNA ABCB10 promotes hepatocellular carcinoma progression by increasing HMG20A expression by sponging miR-670-3p.
Fu Y, Cai L, Lei X, Wang D
Cancer cell international 2019;19:338
Cancer cell international 2019;19:338
Interactome of the inhibitory isoform of the nuclear transporter Importin 13.
Fatima S, Wagstaff KM, Lieu KG, Davies RG, Tanaka SS, Yamaguchi YL, Loveland KL, Tam PP, Jans DA
Biochimica et biophysica acta. Molecular cell research 2017 Mar;1864(3):546-561
Biochimica et biophysica acta. Molecular cell research 2017 Mar;1864(3):546-561
The BRCA1-binding protein BRAP2 can act as a cytoplasmic retention factor for nuclear and nuclear envelope-localizing testicular proteins.
Davies RG, Wagstaff KM, McLaughlin EA, Loveland KL, Jans DA
Biochimica et biophysica acta 2013 Dec;1833(12):3436-3444
Biochimica et biophysica acta 2013 Dec;1833(12):3436-3444
No comments: Submit comment
Supportive validation
- Submitted by
- Proteintech Group (provider)
- Main image

- Experimental details
- Jurkat cells were subjected to SDS PAGE followed by western blot with 12085-2-AP(HMG20A antibody) at dilution of 1:500
- Sample type
- cell line
Supportive validation
- Submitted by
- Proteintech Group (provider)
- Main image

- Experimental details
- Immunofluorescent analysis of HepG2 cells, using HMG20A antibody 12085-2-AP at 1:25 dilution and Rhodamine-labeled goat anti-rabbit IgG (red).
- Sample type
- cell line
Supportive validation
- Submitted by
- Proteintech Group (provider)
- Main image

- Experimental details
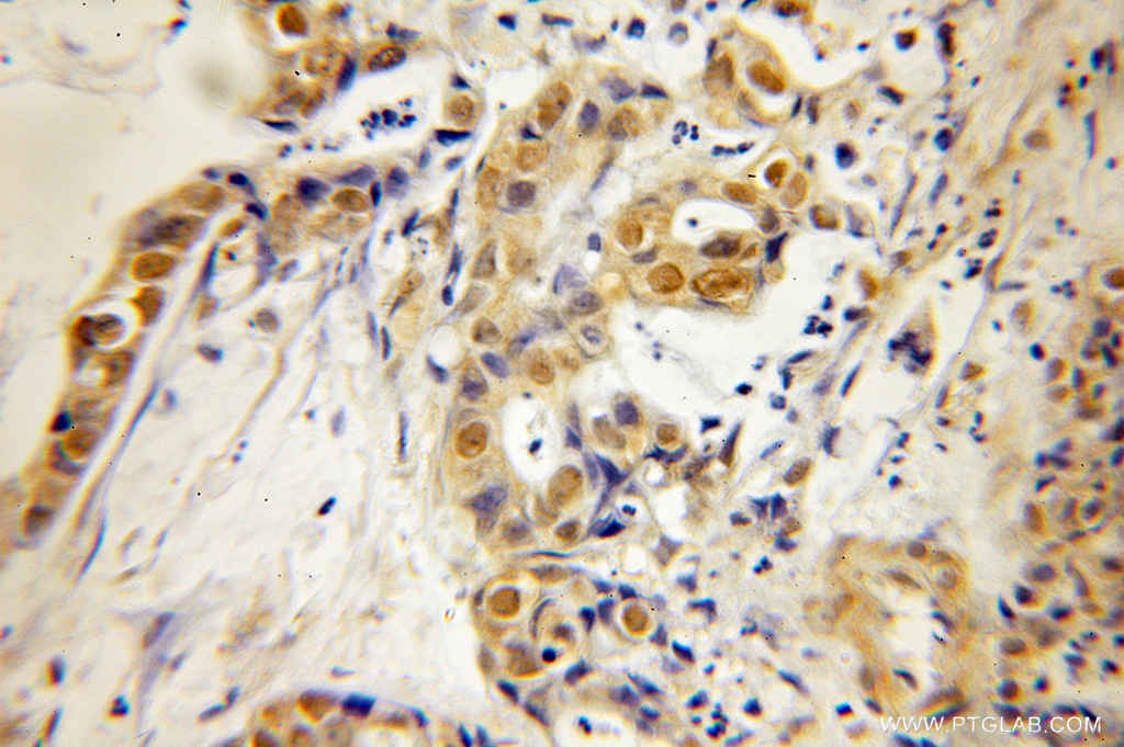
- Immunohistochemical of paraffin-embedded human pancreas cancer using 12085-2-AP(HMG20A antibody) at dilution of 1:50 (under 10x lens)
- Sample type
- tissue