H00003596-M07
antibody from Novus Biologicals
Targeting: IL13
ALRH, BHR1, IL-13, MGC116786, MGC116788, MGC116789, P600
Antibody data
- Antibody Data
- Antigen structure
- References [1]
- Comments [0]
- Validations
- Immunohistochemistry [1]
Submit
Validation data
Reference
Comment
Report error
- Product number
- H00003596-M07 - Provider product page

- Provider
- Novus Biologicals
- Proper citation
- Novus Cat#H00003596-M07, RRID:AB_829206
- Product name
- Mouse Monoclonal IL-13 Antibody
- Antibody type
- Monoclonal
- Description
- IgG purified. IL13 (2B5)
- Reactivity
- Human
- Host
- Mouse
- Isotype
- IgG
- Vial size
- 0.1 mg
- Storage
- Aliquot and store at -20C or -80C. Avoid freeze-thaw cycles.
Submitted references Interleukin 13-positive mast cells are increased in immunoglobulin G4-related sialadenitis.
Takeuchi M, Ohno K, Takata K, Gion Y, Tachibana T, Orita Y, Yoshino T, Sato Y
Scientific reports 2015 Jan 9;5:7696
Scientific reports 2015 Jan 9;5:7696
No comments: Submit comment
Supportive validation
- Submitted by
- Novus Biologicals (provider)
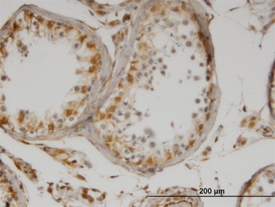
- Main image

- Experimental details
- Immunohistochemistry-Paraffin: IL-13 Antibody (2B5) [H00003596-M07] - Analysis of monoclonal antibody to IL13 on formalin-fixed paraffin-embedded human testis. Antibody concentration 3 ug/ml