Antibody data
- Antibody Data
- Antigen structure
- References [2]
- Comments [0]
- Validations
- Immunohistochemistry [1]
Submit
Validation data
Reference
Comment
Report error
- Product number
- HPA017915 - Provider product page

- Provider
- Atlas Antibodies
- Proper citation
- Atlas Antibodies Cat#HPA017915, RRID:AB_1847100
- Product name
- Anti-COL15A1
- Antibody type
- Polyclonal
- Description
- Polyclonal Antibody against Human COL15A1, Gene description: collagen, type XV, alpha 1, Validated applications: IHC, Uniprot ID: P39059, Storage: Store at +4°C for short term storage. Long time storage is recommended at -20°C.
- Reactivity
- Human
- Host
- Rabbit
- Conjugate
- Unconjugated
- Isotype
- IgG
- Vial size
- 100 µl
- Concentration
- 0.1 mg/ml
- Storage
- Store at +4°C for short term storage. Long time storage is recommended at -20°C.
- Handling
- The antibody solution should be gently mixed before use.
Submitted references Lineage-specific differences and regulatory networks governing human chondrocyte development
Single-cell RNA-seq reveals ectopic and aberrant lung-resident cell populations in idiopathic pulmonary fibrosis
Pregizer S, Richard D, Venkatasubramanian D, Raftery R, Muthuirulan P, Liu Z, Capellini T, Craft A
eLife 2023;12
eLife 2023;12
Single-cell RNA-seq reveals ectopic and aberrant lung-resident cell populations in idiopathic pulmonary fibrosis
Adams T, Schupp J, Poli S, Ayaub E, Neumark N, Ahangari F, Chu S, Raby B, DeIuliis G, Januszyk M, Duan Q, Arnett H, Siddiqui A, Washko G, Homer R, Yan X, Rosas I, Kaminski N
Science Advances 2020;6(28)
Science Advances 2020;6(28)
No comments: Submit comment
Supportive validation
- Submitted by
- Atlas Antibodies (provider)
- Enhanced method
- Orthogonal validation
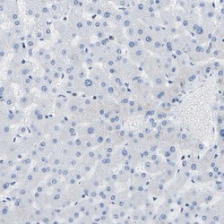
- Main image

- Experimental details
- Immunohistochemistry analysis in human placenta and liver tissues using HPA017915 antibody. Corresponding COL15A1 RNA-seq data are presented for the same tissues.
- Sample type
- Human
- Protocol
- Protocol