Antibody data
- Antibody Data
- Antigen structure
- References [0]
- Comments [0]
- Validations
- Western blot [1]
- Immunohistochemistry [1]
Submit
Validation data
Reference
Comment
Report error
- Product number
- A301-848A - Provider product page

- Provider
- Invitrogen Antibodies
- Product name
- eIF4H Polyclonal Antibody
- Antibody type
- Polyclonal
- Antigen
- Other
- Reactivity
- Human
- Host
- Rabbit
- Isotype
- IgG
- Vial size
- 100 µL
- Concentration
- 0.20 mg/mL
- Storage
- 4° C
No comments: Submit comment
Supportive validation
- Submitted by
- Invitrogen Antibodies (provider)
- Main image

- Experimental details
- Detection of human eIF4H by western blot. Samples: Whole cell lysate from HeLa (5, 15 and 50 µg) and 293T (T; 50 µg) cells. Antibodies: Affinity purified rabbit anti-eIF4H antibody A301-848A used for WB at 0.04 µg/ml. Detection: Chemiluminescence with an exposure time of 3 minutes.
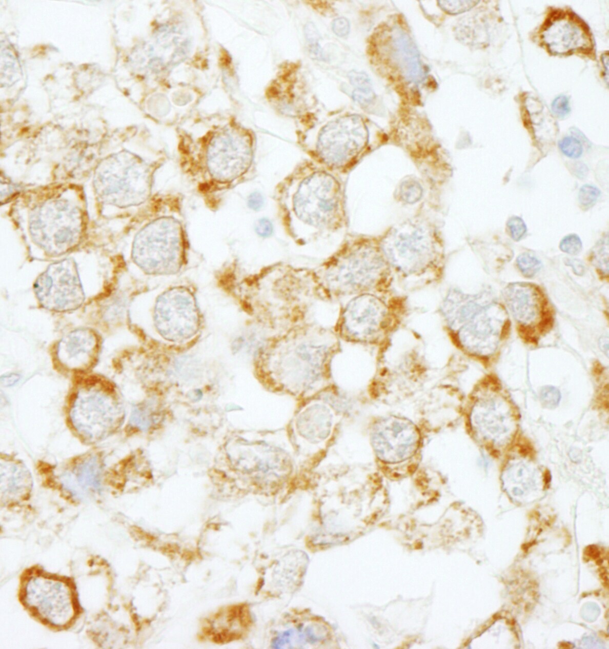
Supportive validation
- Submitted by
- Invitrogen Antibodies (provider)
- Main image

- Experimental details
- Detection of human eIF4H by immunohistochemistry. Sample: FFPE section of human testicular seminoma. Antibody: Affinity purified rabbit anti-eIF4H (Cat. No. A301-848A) used at a dilution of1:200 (1µg/ml). Detection: DAB.