Antibody data
- Antibody Data
- Antigen structure
- References [0]
- Comments [0]
- Validations
- Western blot [2]
- Immunocytochemistry [1]
- Immunohistochemistry [3]
Submit
Validation data
Reference
Comment
Report error
- Product number
- A700-067-T - Provider product page

- Provider
- Invitrogen Antibodies
- Product name
- MafA Recombinant Rabbit Monoclonal Antibody (BLR067G)
- Antibody type
- Monoclonal
- Antigen
- Other
- Reactivity
- Human, Mouse
- Host
- Rabbit
- Isotype
- IgG
- Antibody clone number
- BLR067G
- Vial size
- 10 µL
- Concentration
- 1000 µg/mL
- Storage
- 4° C
No comments: Submit comment
Supportive validation
- Submitted by
- Invitrogen Antibodies (provider)
- Main image

- Experimental details
- Detection of human MafA by western blot. Samples: Whole cell lysate (10 µg) from Beta-TC-6, AlphaTC1 Clone 9, and NIH 3T3 cells prepared using NETN lysis buffer. Antibody: Rabbit anti-MafA recombinant monoclonal antibody [BLR067G] (Product # A700-067 lot 3) used at 1:1000. Secondary: HRP-conjugated goat anti-rabbit IgG (A120-101P). Chemiluminescence with an exposure time of 30 seconds. Lower Panel: Rabbit anti-Actin recombinant monoclonal antibody [BLR057F] (Product # A700-057).
- Submitted by
- Invitrogen Antibodies (provider)
- Main image

- Experimental details
- Detection of human MafA by western blot. Samples: Whole cell lysate from HEK293T transfected with myc tagged human or mouse MafA, MafB or c-Maf prepared using NETN lysis buffer. Antibody: Rabbit anti-MafA recombinant monoclonal antibody [BLR067G] (Product # A700-067 lot 3) used at 1:1000. Secondary: HRP-conjugated goat anti-rabbit IgG (A120-101P). Chemiluminescence with an exposure time of 10 seconds. Lower Panels: Rabbit recombinant monoclonal antibodies to Myc-tag (Product # A191-101), MafB (Product # A700-046), and cMaf (Product # A700-045).
Supportive validation
- Submitted by
- Invitrogen Antibodies (provider)
- Main image

- Experimental details
- Detection of mouse MafA in FFPE beta-TC-6 cells by immunocytochemistry. Antibody: Rabbit anti-MafA recombinant monoclonal antibody [BLR067G] (Product # A700-067; lot 3). Secondary: HRP-conjugated goat anti-rabbit IgG (Product # A120-501P). Substrate: DAB.
Supportive validation
- Submitted by
- Invitrogen Antibodies (provider)
- Main image

- Experimental details
- Detection of human MafA by immunohistochemistry. AntibodySample: FFPE section of human pancreas.Antibody: Rabbit anti-MafA recombinant monoclonal antibody (BLR067G) (A700-067 lot 1) used at 1:200.Secondary: HRP-conjugated goat anti-rabbit IgG (A120-501P). Substrate: DAB.
- Submitted by
- Invitrogen Antibodies (provider)
- Main image

- Experimental details
- Detection of human MafA in FFPE pancreatic tumor by immunohistochemistry. Antibody: Rabbit anti-MafA recombinant monoclonal antibody [BLR067G] (Product # A700-067 lot 3). Secondary: HRP-conjugated goat anti-rabbit IgG (A120-501P). Substrate: DAB.
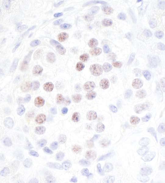
- Submitted by
- Invitrogen Antibodies (provider)
- Main image

- Experimental details
- Detection of human MafA (red) by immunohistochemistry. Sample: FFPE section of human pancreatic carcinoma. Antibody: Rabbit anti-MafA recombinant monoclonal antibody [BLR067G] (Product # A700-067 lot 1) used at 1:250. Secondary: HRP-conjugated goat anti-rabbit IgG (A120-501P). Substrate: Opal™. Counterstain: DAPI (blue).