Antibody data
- Antibody Data
- Antigen structure
- References [3]
- Comments [0]
- Validations
- Western blot [1]
- Immunocytochemistry [1]
- Immunohistochemistry [2]
Submit
Validation data
Reference
Comment
Report error
- Product number
- 66010-1-Ig - Provider product page

- Provider
- Proteintech Group
- Proper citation
- Proteintech Cat#66010-1-Ig, RRID:AB_10950859
- Product name
- DDB1 antibody
- Antibody type
- Monoclonal
- Description
- KD/KO validated DDB1 antibody (Cat. #66010-1-Ig) is a mouse monoclonal antibody that shows reactivity with human, mouse, rat and has been validated for the following applications: IHC, WB,ELISA.
- Reactivity
- Human, Mouse, Rat
- Host
- Mouse
- Conjugate
- Unconjugated
- Isotype
- IgG
- Antibody clone number
- 4F6C6
- Vial size
- 20ul, 150ul
Submitted references Human Herpesvirus 6A U4 Inhibits Proteasomal Degradation of the Amyloid Precursor Protein.
Cul4A-DDB1-mediated monoubiquitination of phosphoglycerate dehydrogenase promotes colorectal cancer metastasis via increased S-adenosylmethionine.
Degradation of SAMHD1 by Vpx Is Independent of Uncoating.
Tang T, Jia J, Garbarino E, Chen L, Ma J, Li P, Chen X, Wang L, Wen Y, Wang Y, Li L, Yao K, Tang H
Journal of virology 2022 Feb 23;96(4):e0168821
Journal of virology 2022 Feb 23;96(4):e0168821
Cul4A-DDB1-mediated monoubiquitination of phosphoglycerate dehydrogenase promotes colorectal cancer metastasis via increased S-adenosylmethionine.
Zhang Y, Yu H, Zhang J, Gao H, Wang S, Li S, Wei P, Liang J, Yu G, Wang X, Li X, Li D, Yang W
The Journal of clinical investigation 2021 Nov 1;131(21)
The Journal of clinical investigation 2021 Nov 1;131(21)
Degradation of SAMHD1 by Vpx Is Independent of Uncoating.
Jáuregui P, Logue EC, Schultz ML, Fung S, Landau NR
Journal of virology 2015 May;89(10):5701-13
Journal of virology 2015 May;89(10):5701-13
No comments: Submit comment
Supportive validation
- Submitted by
- Proteintech Group (provider)
- Main image

- Experimental details
- HeLa cells were subjected to SDS PAGE followed by western blot with 66010-1-Ig(DDB1 antibody) at dilution of 1:1000
- Sample type
- cell line
Supportive validation
- Submitted by
- Proteintech Group (provider)
- Main image

- Experimental details
- Immunofluorescent analysis of Hela cells, using DDB1 antibody 66010-1-lg at 1:25 dilution and Rhodamine-labeled goat anti-mouse IgG (red).
- Sample type
- cell line
Supportive validation
- Submitted by
- Proteintech Group (provider)
- Main image

- Experimental details
- Immunohistochemical of paraffin-embedded human cervical cancer using 66010-1-Ig(DDB1 antibody) at dilution of 1:50 (under 10x lens)
- Sample type
- tissue
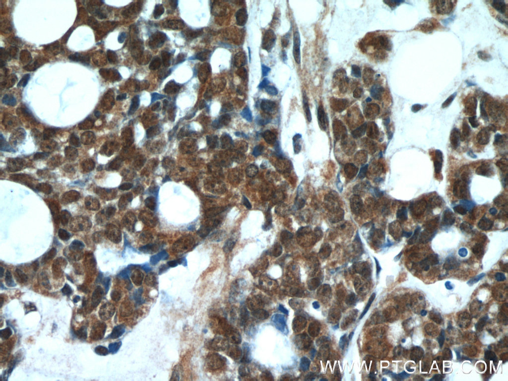
- Submitted by
- Proteintech Group (provider)
- Main image

- Experimental details
- Immunohistochemical of paraffin-embedded human cervical cancer using 66010-1-Ig(DDB1 antibody) at dilution of 1:50 (under 40x lens)
- Sample type
- tissue