Antibody data
- Antibody Data
- Antigen structure
- References [0]
- Comments [0]
- Validations
- Western blot [1]
- Immunohistochemistry [11]
Submit
Validation data
Reference
Comment
Report error
- Product number
- ARG53209 - Provider product page

- Provider
- Arigo
- Product name
- anti-Keratin 6 antibody [SP87] (Ready-to-Use)
- Antibody type
- Monoclonal
- Antigen
- Synthetic peptide derived from C-terminus of human keratin 6 protein.
- Description
- Purified by protein A/G
- Reactivity
- Human
- Host
- Rabbit
- Isotype
- IgG
- Antibody clone number
- SP87
- Vial size
- 7 ml
- Concentration
- Ready to use
- Storage
- Aliquot and store at 2-8°C. Do not freeze. The antibody solution should be gently mixed before use.
- Handling
- The antibody solution should be gently mixed before use.
No comments: Submit comment
Supportive validation
- Submitted by
- Arigo (provider)
- Main image

- Experimental details
- Western Blot: A431 stained with Keratin 6 antibody [SP87]
Supportive validation
- Submitted by
- Arigo (provider)
- Main image

- Experimental details
- Immunohistochemistry: Human Bladder Transitional Cell Carcinoma stained with Keratin 6 antibody [SP87] (ARG53208)
- Submitted by
- Arigo (provider)
- Main image

- Experimental details
- Immunohistochemistry: Human Bladder stained with Keratin 6 antibody [SP87] (ARG53208)
- Submitted by
- Arigo (provider)
- Main image

- Experimental details
- Immunohistochemistry: Human Breast stained with Keratin 6 antibody [SP87] (ARG53208)
- Submitted by
- Arigo (provider)
- Main image

- Experimental details
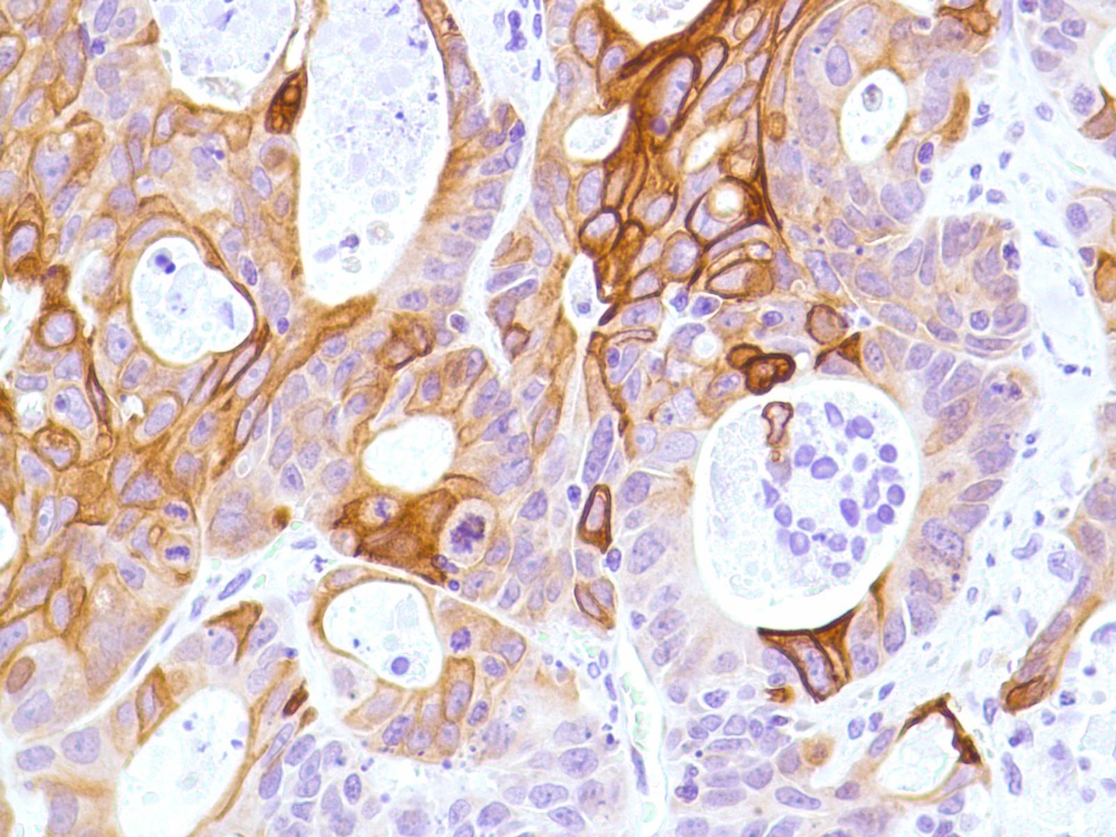
- Immunohistochemistry: Human Colon Adenocarcinoma stained with Keratin 6 antibody [SP87] (ARG53208)
- Submitted by
- Arigo (provider)
- Main image

- Experimental details
- Immunohistochemistry: Human Lung Squamous Cell Carcinoma stained with Keratin 6 antibody [SP87] (ARG53208)
- Submitted by
- Arigo (provider)
- Main image

- Experimental details
- Immunohistochemistry: Human Ovarian Adenocarcinoma stained with Keratin 6 antibody [SP87] (ARG53208)
- Submitted by
- Arigo (provider)
- Main image

- Experimental details
- Immunohistochemistry: Human Placenta stained with Keratin 6 antibody [SP87] (ARG53208)
- Submitted by
- Arigo (provider)
- Main image

- Experimental details
- Immunohistochemistry: Human Prostate stained with Keratin 6 antibody [SP87] (ARG53208)
- Submitted by
- Arigo (provider)
- Main image

- Experimental details
- Immunohistochemistry: Human Rectal Adenocarcinoma stained with Keratin 6 antibody [SP87] (ARG53208)
- Submitted by
- Arigo (provider)
- Main image

- Experimental details
- Immunohistochemistry: Human Stomach stained with Keratin 6 antibody [SP87] (ARG53208)
- Submitted by
- Arigo (provider)
- Main image

- Experimental details
- Immunohistochemistry: Human Prostate Cancer stained with Keratin 6 antibody [SP87] (ARG53208)