LS-C368678
antibody from LSBio
Targeting: GTF2IRD1
BEN, Cream1, GTF3, MusTRD1, RBAP2, WBSCR11, WBSCR12
Antibody data
- Antibody Data
- Antigen structure
- References [0]
- Comments [0]
- Validations
- Western blot [1]
- Immunohistochemistry [3]
Submit
Validation data
Reference
Comment
Report error
- Product number
- LS-C368678 - Provider product page

- Provider
- LSBio
- Product name
- GTF3 / GTF2IRD1 Antibody (N-Terminus) LS-C368678
- Antibody type
- Polyclonal
- Description
- Immunoaffinity purified
- Reactivity
- Human, Mouse
- Host
- Rabbit
- Storage
- Aliquot and store at -20°C for 1 year. Avoid freeze/thaw cycles.
No comments: Submit comment
Enhanced validation
- Submitted by
- LSBio (provider)
- Enhanced method
- Genetic validation
- Main image

- Experimental details
- Western blot analysis of GTF2IRD1 expression in HeLa (A); HEK293T (B) whole cell lysates.
Supportive validation
- Submitted by
- LSBio (provider)
- Enhanced method
- Genetic validation
- Main image

- Experimental details
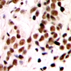
- Immunohistochemical analysis of GTF2IRD1 staining in human breast cancer formalin fixed paraffin embedded tissue section. The section was pre-treated using heat mediated antigen retrieval with sodium citrate buffer (pH 6.0). The section was then incubated with the antibody at room temperature and detected with HRP and DAB as chromogen. The section was then counterstained with hematoxylin and mounted with DPX.
- Submitted by
- LSBio (provider)
- Enhanced method
- Genetic validation
- Main image

- Experimental details
- Immunohistochemical analysis of GTF2IRD1 staining in human breast cancer formalin fixed paraffin embedded tissue section. The section was pre-treated using heat mediated antigen retrieval with sodium citrate buffer (pH 6.0). The section was then incubated with the antibody at room temperature and detected with HRP and DAB as chromogen. The section was then counterstained with hematoxylin and mounted with DPX.
- Submitted by
- LSBio (provider)
- Enhanced method
- Genetic validation
- Main image

- Experimental details
- Immunohistochemical analysis of GTF2IRD1 staining in human breast cancer formalin fixed paraffin embedded tissue section. The section was pre-treated using heat mediated antigen retrieval with sodium citrate buffer (pH 6.0). The section was then incubated with the antibody at room temperature and detected with HRP and DAB as chromogen. The section was then counterstained with hematoxylin and mounted with DPX.