Antibody data
- Antibody Data
- Antigen structure
- References [1]
- Comments [0]
- Validations
- Western blot [1]
- Immunohistochemistry [1]
Submit
Validation data
Reference
Comment
Report error
- Product number
- AP06566PU-N - Provider product page 
- Provider
- OriGene
- Product name
- PKC alpha (PRKCA) (pan) rabbit polyclonal antibody, Aff - Purified
- Antibody type
- Polyclonal
- Description
- PKC alpha (PRKCA) (pan) rabbit polyclonal antibody, Aff - Purified
- Host
- Rabbit
- Conjugate
- Unconjugated
- Epitope
- PRKCA
- Antibody clone number
- NULL
- Vial size
- 100 µg
- Concentration
- 1.0 mg/ml
Submitted references		Glutamate Receptor Agonists and Glutamate Transporter Antagonists Regulate Differentiation of Osteoblast Lineage Cells.
				
		
	
			Xie W, Dolder S, Siegrist M, Wetterwald A, Hofstetter W
Calcified tissue international 2016 Aug;99(2):142-54
		Calcified tissue international 2016 Aug;99(2):142-54
				No comments: Submit comment	
	
			
							
					Supportive validation
					
									
				
				- Submitted by
- OriGene (provider)
- Main image
 
- Experimental details
- Western blot analysis of pan PKC Antibody ( 9 in Hela (Lane 1), A549 (Lane 2), NIH-3T3 (Lane 3) and PC12 (Lane 4) wohle cell lysates?at 1/500 dilution .
- Validation comment
- WB
							
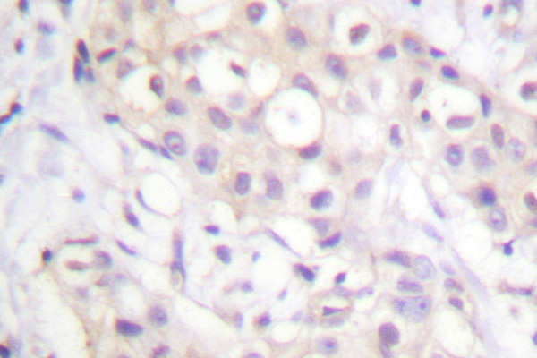
					Supportive validation
					
									
				
		- Submitted by
- OriGene (provider)
- Main image
 
- Experimental details
- Immunohistochemistry analysis of pan PKC Antibody in paraffin-embedded human breast carcinoma tissue.
- Validation comment
- IHC