Antibody data
- Antibody Data
- Antigen structure
- References [0]
- Comments [0]
- Validations
- Immunohistochemistry [17]
Submit
Validation data
Reference
Comment
Report error
- Product number
- CF190295 - Provider product page

- Provider
- Invitrogen Antibodies
- Product name
- Basic Cytokeratin Monoclonal Antibody (AE3), TrueMAB™
- Antibody type
- Monoclonal
- Antigen
- Other
- Reactivity
- Human
- Host
- Mouse
- Isotype
- IgG
- Antibody clone number
- AE3
- Vial size
- 100 µg
- Concentration
- 1 mg/mL
- Storage
- -20° C, Avoid Freeze/Thaw Cycles
No comments: Submit comment
Supportive validation
- Submitted by
- Invitrogen Antibodies (provider)
- Main image

- Experimental details
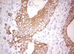
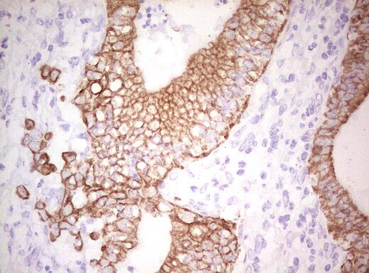
- Immunohistochemical staining of paraffin-embedded Carcinoma of Human lung tissue using anti-Acidic Cytokeratin mouse monoclonal antibody. (Heat-induced epitope retrieval by Tris-EDTA, pH8.0, TA190295)
- Submitted by
- Invitrogen Antibodies (provider)
- Main image

- Experimental details
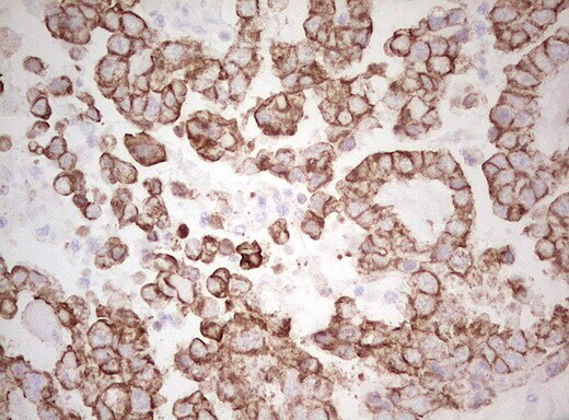
- Immunohistochemical staining of paraffin-embedded Adenocarcinoma of Human ovary tissue using anti-Acidic Cytokeratin mouse monoclonal antibody. (Heat-induced epitope retrieval by Tris-EDTA, pH8.0, TA190295)
- Submitted by
- Invitrogen Antibodies (provider)
- Main image

- Experimental details
- Immunohistochemical staining of paraffin-embedded human pancreas tissue within the normal limits using anti-Acidic Cytokeratin mouse monoclonal antibody. (Heat-induced epitope retrieval by Tris-EDTA, pH8.0, TA190295)
- Submitted by
- Invitrogen Antibodies (provider)
- Main image

- Experimental details
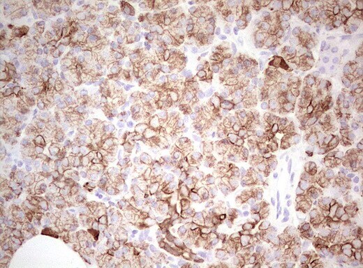
- Immunohistochemical staining of paraffin-embedded Carcinoma of Human pancreas tissue using anti-Acidic Cytokeratin mouse monoclonal antibody. (Heat-induced epitope retrieval by Tris-EDTA, pH8.0, TA190295)
- Submitted by
- Invitrogen Antibodies (provider)
- Main image

- Experimental details
- Immunohistochemical staining of paraffin-embedded human thyroid tissue within the normal limits using anti-Acidic Cytokeratin mouse monoclonal antibody. (Heat-induced epitope retrieval by Tris-EDTA, pH8.0, TA190295)
- Submitted by
- Invitrogen Antibodies (provider)
- Main image

- Experimental details
- Immunohistochemical staining of paraffin-embedded Carcinoma of Human thyroid tissue using anti-Acidic Cytokeratin mouse monoclonal antibody. (Heat-induced epitope retrieval by Tris-EDTA, pH8.0, TA190295)
- Submitted by
- Invitrogen Antibodies (provider)
- Main image

- Experimental details
- Immunohistochemical staining of paraffin-embedded human endometrium tissue within the normal limits using anti-Acidic Cytokeratin mouse monoclonal antibody. (Heat-induced epitope retrieval by Tris-EDTA, pH8.0, TA190295)
- Submitted by
- Invitrogen Antibodies (provider)
- Main image

- Experimental details
- Immunohistochemical staining of paraffin-embedded Adenocarcinoma of Human endometrium tissue using anti-Acidic Cytokeratin mouse monoclonal antibody. (Heat-induced epitope retrieval by Tris-EDTA, pH8.0, TA190295)
- Submitted by
- Invitrogen Antibodies (provider)
- Main image

- Experimental details
- Immunohistochemical staining of paraffin-embedded human prostate tissue within the normal limits using anti-Acidic Cytokeratin mouse monoclonal antibody. (Heat-induced epitope retrieval by Tris-EDTA, pH8.0, TA190295)
- Submitted by
- Invitrogen Antibodies (provider)
- Main image

- Experimental details
- Immunohistochemical staining of paraffin-embedded Adenocarcinoma of Human breast tissue using anti-Acidic Cytokeratin mouse monoclonal antibody. (Heat-induced epitope retrieval by Tris-EDTA, pH8.0, TA190295)
- Submitted by
- Invitrogen Antibodies (provider)
- Main image

- Experimental details
- Immunohistochemical staining of paraffin-embedded human tonsil within the normal limits using anti-Acidic Cytokeratin mouse monoclonal antibody. (Heat-induced epitope retrieval by Tris-EDTA, pH8.0, TA190295)
- Submitted by
- Invitrogen Antibodies (provider)
- Main image

- Experimental details
- Immunohistochemical staining of paraffin-embedded human colon tissue within the normal limits using anti-Acidic Cytokeratin mouse monoclonal antibody. (Heat-induced epitope retrieval by Tris-EDTA, pH8.0, TA190295)
- Submitted by
- Invitrogen Antibodies (provider)
- Main image

- Experimental details
- Immunohistochemical staining of paraffin-embedded Adenocarcinoma of Human colon tissue using anti-Acidic Cytokeratin mouse monoclonal antibody. (Heat-induced epitope retrieval by Tris-EDTA, pH8.0, TA190295)
- Submitted by
- Invitrogen Antibodies (provider)
- Main image

- Experimental details
- Immunohistochemical staining of paraffin-embedded human Kidney tissue within the normal limits using anti-Acidic Cytokeratin mouse monoclonal antibody. (Heat-induced epitope retrieval by Tris-EDTA, pH8.0, TA190295)
- Submitted by
- Invitrogen Antibodies (provider)
- Main image

- Experimental details
- Immunohistochemical staining of paraffin-embedded human liver tissue within the normal limits using anti-Acidic Cytokeratin mouse monoclonal antibody. (Heat-induced epitope retrieval by Tris-EDTA, pH8.0, TA190295)
- Submitted by
- Invitrogen Antibodies (provider)
- Main image

- Experimental details
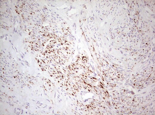
- Immunohistochemical staining of paraffin-embedded Carcinoma of Human liver tissue using anti-Acidic Cytokeratin mouse monoclonal antibody. (Heat-induced epitope retrieval by Tris-EDTA, pH8.0, TA190295)
- Submitted by
- Invitrogen Antibodies (provider)
- Main image

- Experimental details
- Immunohistochemical staining of paraffin-embedded human lung tissue within the normal limits using anti-Acidic Cytokeratin mouse monoclonal antibody. (Heat-induced epitope retrieval by Tris-EDTA, pH8.0, TA190295)