Antibody data
- Antibody Data
- Antigen structure
- References [0]
- Comments [0]
- Validations
- Western blot [1]
- Immunocytochemistry [2]
- Immunohistochemistry [2]
Submit
Validation data
Reference
Comment
Report error
- Product number
- LS-C186316 - Provider product page

- Provider
- LSBio
- Product name
- TRIM21 / RO52 Antibody (aa254-475) LS-C186316
- Antibody type
- Polyclonal
- Description
- Immunoaffinity purified
- Reactivity
- Human
- Host
- Rabbit
- Isotype
- IgG
- Storage
- Keep as concentrated solution. Aliquot and store at -20°C or below. Avoid multiple freeze-thaw cycles.
No comments: Submit comment
Enhanced validation
- Submitted by
- LSBio (provider)
- Enhanced method
- Genetic validation
- Main image

- Experimental details
- Sample (30 ug of whole cell lysate). A: Molt-4 . 10% SDS PAGE. RO52 / TRIM21 antibody diluted at 1:1000.
Supportive validation
- Submitted by
- LSBio (provider)
- Enhanced method
- Genetic validation
- Main image

- Experimental details
- Immunofluorescence of paraformaldehyde-fixed A431 using SSA1 antibody at 1:200 dilution.
- Submitted by
- LSBio (provider)
- Main image

- Experimental details
- Immunofluorescence of paraformaldehyde-fixed A431 using SSA1 antibody at 1:200 dilution.
Supportive validation
- Submitted by
- LSBio (provider)
- Enhanced method
- Genetic validation
- Main image

- Experimental details
- IHC of paraffin-embedded DLD-1 xenograft using SSA1 antibody at 1:500 dilution.
- Submitted by
- LSBio (provider)
- Enhanced method
- Genetic validation
- Main image

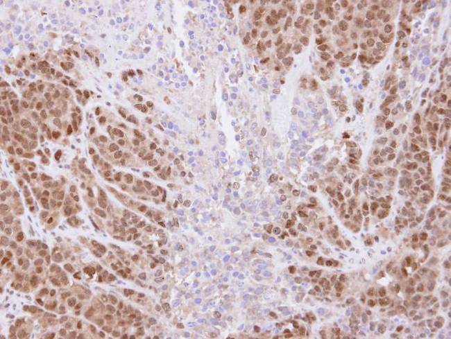
- Experimental details
- IHC of paraffin-embedded DLD-1 xenograft using SSA1 antibody at 1:500 dilution.