Antibody data
- Antibody Data
- Antigen structure
- References [0]
- Comments [0]
- Validations
- Western blot [1]
- Immunohistochemistry [2]
Submit
Validation data
Reference
Comment
Report error
- Product number
- LS-C403952 - Provider product page

- Provider
- LSBio
- Product name
- CLECSF6 / DCIR Antibody LS-C403952
- Antibody type
- Polyclonal
- Description
- Affinity purification
- Reactivity
- Human, Mouse
- Host
- Rabbit
- Isotype
- IgG
- Storage
- Store at -20°C. Avoid freeze-thaw cycles.
No comments: Submit comment
Supportive validation
- Submitted by
- LSBio (provider)
- Main image

- Experimental details
- Western blot analysis of RAW264.7, HeLa, 823 and A549 cell, using CLEC4A Polyclonal Antibody at dilution of 1:300.
Supportive validation
- Submitted by
- LSBio (provider)
- Main image

- Experimental details
- Immunohistochemistry of paraffin-embedded Human colon cancer using CLEC4A Polyclonal Antibody at dilution of 1:15.
- Submitted by
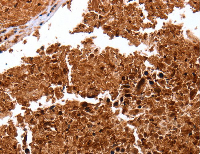
- LSBio (provider)
- Main image

- Experimental details
- Immunohistochemistry of paraffin-embedded Human lung cancer using CLEC4A Polyclonal Antibody at dilution of 1:15.