Antibody data
- Antibody Data
- Antigen structure
- References [0]
- Comments [0]
- Validations
- Western blot [1]
- Immunohistochemistry [2]
Submit
Validation data
Reference
Comment
Report error
- Product number
- NBP1-79985 - Provider product page

- Provider
- Novus Biologicals
- Proper citation
- Novus Cat#NBP1-79985, RRID:AB_11041961
- Product name
- Rabbit Polyclonal OR13C9 Antibody
- Antibody type
- Polyclonal
- Description
- Immunogen affinity purified.
- Reactivity
- Human
- Host
- Rabbit
- Isotype
- IgG
- Vial size
- 100 ul
- Storage
- Store at -20C. Avoid freeze-thaw cycles.
No comments: Submit comment
Supportive validation
- Submitted by
- Novus Biologicals (provider)
- Main image

- Experimental details
- Western Blot: OR13C9 Antibody [NBP1-79985] - HepG2 cell lysate, concentration 0.2-1 ug/ml.
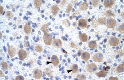
Supportive validation
- Submitted by
- Novus Biologicals (provider)
- Main image

- Experimental details
- Immunohistochemistry: OR13C9 Antibody [NBP1-79985] - Human Brain Cellular data: Neural Cells Antibody Concentration: 4.0-8.0 ug/ml Magnification: 400X.
- Submitted by
- Novus Biologicals (provider)
- Main image

- Experimental details
- Immunohistochemistry: OR13C9 Antibody [NBP1-79985] - Human Kidney Cellular data: Epithelial cells of renal tubule Antibody Concentration: 4.0-8.0 ug/ml Magnification: 400X.