Antibody data
- Antibody Data
- Antigen structure
- References [0]
- Comments [0]
- Validations
- Western blot [1]
- Immunohistochemistry [2]
Submit
Validation data
Reference
Comment
Report error
- Product number
- LS-C201136 - Provider product page

- Provider
- LSBio
- Product name
- IL9 Antibody LS-C201136
- Antibody type
- Polyclonal
- Description
- Peptide Column Affinity Chromatography
- Reactivity
- Human
- Host
- Rabbit
- Isotype
- IgG
- Storage
- Store at 4°C for up 3 months. Store at -20°C for up to 1 year. Avoid freeze/thaw cycles.
No comments: Submit comment
Enhanced validation
- Submitted by
- LSBio (provider)
- Enhanced method
- Genetic validation
- Main image

- Experimental details
- Western blot analysis of IL-9 in human spleen tissue lysate at 1 ug/ml.
Enhanced validation
- Submitted by
- LSBio (provider)
- Enhanced method
- Genetic validation
- Main image

- Experimental details
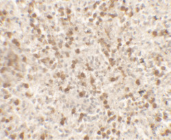
- Immunohistochemistry of IL-9 in human spleen tissue with IL-9 antibody at 5 ug/ml.
- Submitted by
- LSBio (provider)
- Enhanced method
- Genetic validation
- Main image

- Experimental details
- Immunohistochemistry of IL-9 in human spleen tissue with IL-9 antibody at 5 ug/ml.