Antibody data
- Antibody Data
- Antigen structure
- References [1]
- Comments [0]
- Validations
- Western blot [1]
- Immunohistochemistry [2]
Submit
Validation data
Reference
Comment
Report error
- Product number
- 17689-1-AP - Provider product page

- Provider
- Proteintech Group
- Proper citation
- Proteintech Cat#17689-1-AP, RRID:AB_2126652
- Product name
- IL9 antibody
- Antibody type
- Polyclonal
- Description
- IL9 antibody (Cat. #17689-1-AP) is a rabbit polyclonal antibody that shows reactivity with human and has been validated for the following applications: ELISA.
- Reactivity
- Human
- Host
- Rabbit
- Conjugate
- Unconjugated
- Isotype
- IgG
- Vial size
- 20ul, 150ul
Submitted references Interleukin-9 promotes tumorigenesis through augmenting angiogenesis in non-small cell lung cancer.
He J, Wang L, Zhang C, Shen W, Zhang Y, Liu T, Hu H, Xie X, Luo F
International immunopharmacology 2019 Oct;75:105766
International immunopharmacology 2019 Oct;75:105766
No comments: Submit comment
Supportive validation
- Submitted by
- Proteintech Group (provider)
- Main image

- Experimental details
- U-937 cells were subjected to SDS PAGE followed by western blot with 17689-1-AP(IL9 antibody) at dilution of 1:300
- Sample type
- cell line
Supportive validation
- Submitted by
- Proteintech Group (provider)
- Main image

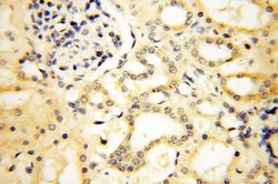
- Experimental details
- Immunohistochemical of paraffin-embedded human kidney using 17689-1-AP(IL9 antibody) at dilution of 1:50 (under 10x lens)
- Sample type
- tissue
- Submitted by
- Proteintech Group (provider)
- Main image

- Experimental details
- The IL9 antibody from Proteintech is a rabbit polyclonal antibody to a recombinant protein of human IL9. This antibody recognizes human antigen. The IL9 antibody has been validated for the following applications: ELISA, WB, IHC analysis.