Antibody data
- Antibody Data
- Antigen structure
- References [0]
- Comments [0]
- Validations
- Western blot [1]
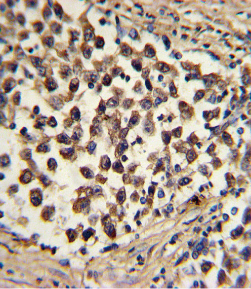
- Immunohistochemistry [1]
Submit
Validation data
Reference
Comment
Report error
- Product number
- ABIN2502960 - Provider product page

- Provider
- antibodies-online
- Product name
- anti-Solute Carrier Family 44, Member 1 (SLC44A1) antibody (FITC)
- Antibody type
- Monoclonal
- Antigen
- The immunogen for anti-SLC44A1 antibody: mV4-11 acute monocyte leukaemia cells.
- Reactivity
- Human
- Host
- Mouse
- Conjugate
- Green dye
- Vial size
- 0.1 mg
- Storage
- Store at +4°C or at -20°C if preferred. Storage in frost-free freezers is not recommended. This product should be stored undiluted. This product is photosensitive and should be protected from light
- Handling
- Avoid repeat freeze-thaw cycles.This product is photosensitive and should be protected from light.
No comments: Submit comment
Supportive validation
- Submitted by
- antibodies-online (provider)
- Main image

- Experimental details
- Image(s): Western Blotting
Supportive validation
- Submitted by
- antibodies-online (provider)
- Main image

- Experimental details
- Image(s): Immunohistochemistry