Antibody data
- Antibody Data
- Antigen structure
- References [0]
- Comments [0]
- Validations
- Western blot [2]
- Immunohistochemistry [1]
Submit
Validation data
Reference
Comment
Report error
- Product number
- AP50090PU-N - Provider product page

- Provider
- Acris Antibodies GmbH
- Proper citation
- Acris Antibodies GmbH Cat#AP50090PU-N, RRID:AB_11145946
- Product name
- anti Alcohol dehydrogenase 4 (ADH4) (C-term)
- Antibody type
- Polyclonal
- Antigen
- KLH conjugated synthetic peptide between 326-356 amino acids from the C-terminal region of human ADH4
- Reactivity
- Human, Mouse
- Host
- Rabbit
- Vial size
- 0.4 ml
- Concentration
- lot specific
No comments: Submit comment
Supportive validation
- Submitted by
- Acris Antibodies GmbH (provider)
- Main image

- Experimental details
- ADH4 Antibody (C-term) (Cat. #AP50090PU-N) western blot analysis in mouse heart tissue lysates (35µg/lane).This demonstrates the ADH4 antibody detected the ADH4 protein (arrow).
- Submitted by
- Acris Antibodies GmbH (provider)
- Main image

- Experimental details
- Western blot analysis of ADH4 (arrow) using rabbit polyclonal ADH4 Antibody (C-term) (Cat. #AP50090PU-N). 293 cell lysates (2 µg/lane) either nontransfected (Lane 1) or transiently transfected (Lane 2) with the ADH4 gene.
Supportive validation
- Submitted by
- Acris Antibodies GmbH (provider)
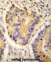
- Main image

- Experimental details
- ADH4 antibody(C-term) (Cat. #AP50090PU-N) immunohistochemistry analysis in formalin fixed and paraffin embedded human colon carcinoma followed by peroxidase conjugation of the secondary antibody and DAB staining. This data demonstrates the use of the ADH4 antibody(C-term) for immunohistochemistry. Clinical relevance has not been evaluated.