Antibody data
- Antibody Data
- Antigen structure
- References [0]
- Comments [0]
- Validations
- Western blot [3]
- Immunocytochemistry [1]
- Immunohistochemistry [1]
Submit
Validation data
Reference
Comment
Report error
- Product number
- GTX117805 - Provider product page

- Provider
- GeneTex
- Product name
- Fascin 1 antibody
- Antibody type
- Polyclonal
- Reactivity
- Human, Mouse
- Host
- Rabbit
No comments: Submit comment
Supportive validation
- Submitted by
- GeneTex (provider)
- Main image

- Experimental details
- Fascin 1 antibody detects Fascin 1 protein by Western blot analysis.A. 30 ?g HeLa whole cell lysate/extract10 % SDS-PAGEFascin 1 antibody (GTX117805) dilution: 1:1000
- Submitted by
- GeneTex (provider)
- Main image

- Experimental details
- Wild-type (WT) and Fascin 1 knockout (KO) HeLa cell extracts (30 ?g) were separated by 10% SDS-PAGE, and the membrane was blotted with Fascin 1 antibody (GTX117805) diluted at 1:2000. The HRP-conjugated anti-rabbit IgG antibody (GTX213110-01) was used to detect the primary antibody.
- Submitted by
- GeneTex (provider)
- Main image

- Experimental details
- Wild-type (WT) and Fascin 1 knockout (KO) HeLa cell extracts (30 ?g) were separated by 10% SDS-PAGE, and the membrane was blotted with Fascin 1 antibody (GTX117805) diluted at 1:2000. The HRP-conjugated anti-rabbit IgG antibody (GTX213110-01) was used to detect the primary antibody.
Supportive validation
- Submitted by
- GeneTex (provider)
- Main image

- Experimental details
- FSCN1 antibody detects FSCN1 protein at cytoplasm by immunofluorescent analysis. Sample: HCT116 cells were fixed in 100% MeOH for 5 min.Green: FSCN1 protein stained by FSCN1 antibody (GTX117805) diluted at 1:500.Blue: Hoechst 33342 staining.
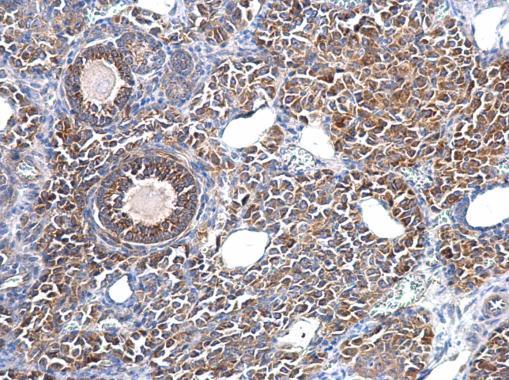
Supportive validation
- Submitted by
- GeneTex (provider)
- Main image

- Experimental details
- Fascin 1 antibody detects Fascin 1 protein at cytosol on mouse ovary by immunohistochemical analysis. Sample: Paraffin-embedded mouse ovary. Fascin 1 antibody (GTX117805) dilution: 1:500.