A03513
antibody from Boster Biological Technology
Targeting: CCL24
Ckb-6, eotaxin-2, MPIF-2, MPIF2, SCYA24
Antibody data
- Antibody Data
- Antigen structure
- References [0]
- Comments [0]
- Validations
- Immunohistochemistry [1]
Submit
Validation data
Reference
Comment
Report error
- Product number
- A03513 - Provider product page

- Provider
- Boster Biological Technology
- Product name
- Anti-Eotaxin-2 CCL24 Antibody
- Antibody type
- Polyclonal
- Description
- Anti-Eotaxin-2 CCL24 Antibody validated for IHC, ELISA. Reactive to Human.
- Reactivity
- Human
- Host
- Rabbit
- Isotype
- IgG
- Vial size
- 100ul
- Concentration
- 1 mg/ml
- Storage
- At -20°C for one year. At 4°C for one month. It can also be aliquoted and stored frozen at -20°C for a longer time. Avoid repeated freezing and thawing.
No comments: Submit comment
Supportive validation
- Submitted by
- Boster Biological Technology (provider)
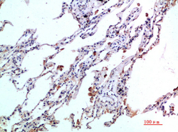
- Main image

- Experimental details
- Immunohistochemistry validation of CCL24 using Anti-Eotaxin-2 CCL24 Antibody (A03513). Immunohistochemical analysis of paraffin-embedded human-lung
- Additional image
