Antibody data
- Antibody Data
 - Antigen structure
 - References [0]
 - Comments [0]
 - Validations
 - Western blot [2]
 - Immunohistochemistry [9]
 
Submit
Validation data
Reference
Comment
Report error
- Product number
 - LS-C782299 - Provider product page

 - Provider
 - LSBio
 - Product name
 - PPA1 Antibody LS-C782299
 - Antibody type
 - Polyclonal
 - Description
 - Antigen Affinity purification
 - Reactivity
 - Human, Mouse, Rat
 - Host
 - Rabbit
 - Isotype
 - IgG
 - Storage
 - After reconstitution, store at 4°C for up to 1 month. Long-term: aliquot and store at -20°C. Avoid freeze-thaws cycles.
 
				No comments: Submit comment	
	
			
							
					Enhanced validation
					
									
				
				- Submitted by
 - LSBio (provider)
 - Enhanced method
 - Genetic validation
 - Main image
 
- Experimental details
 - Western blot testing of human 1) PC-3, 2) Caco-2, 3) HEK293, 4) K562 and 5) U-2 OS lysate with PPA1 antibody at 0.5ug/ml. Predicted molecular weight: ~33 kDa.
 
- Submitted by
 - LSBio (provider)
 - Enhanced method
 - Genetic validation
 - Main image
 
- Experimental details
 - Western blot testing of 1) rat thymus, 2) rat kidney, 3) rat testis, 4) mouse kidney and 5) mouse testis lysate with PPA1 antibody at 0.5ug/ml. Predicted molecular weight: ~33 kDa.
 
							
					Supportive validation
					
									
				
		- Submitted by
 - LSBio (provider)
 - Enhanced method
 - Genetic validation
 - Main image
 
- Experimental details
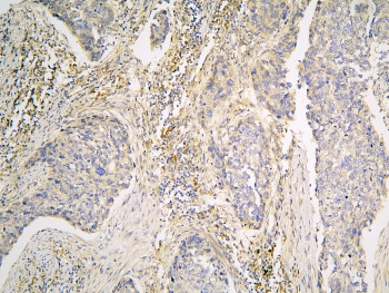
 - IHC staining of FFPE human intestinal cancer with PPA1 antibody at 1ug/ml. HIER: boil tissue sections in pH6, 10mM citrate buffer, for 10-20 min and allow to cool before testing.
 
- Submitted by
 - LSBio (provider)
 - Enhanced method
 - Genetic validation
 - Main image
 
- Experimental details
 - IHC staining of FFPE human lung cancer with PPA1 antibody at 1ug/ml. HIER: boil tissue sections in pH6, 10mM citrate buffer, for 10-20 min and allow to cool before testing.
 
- Submitted by
 - LSBio (provider)
 - Enhanced method
 - Genetic validation
 - Main image
 
- Experimental details
 - IHC staining of FFPE mouse brain with PPA1 antibody at 1ug/ml. HIER: boil tissue sections in pH6, 10mM citrate buffer, for 10-20 min and allow to cool before testing.
 
- Submitted by
 - LSBio (provider)
 - Enhanced method
 - Genetic validation
 - Main image
 
- Experimental details
 - IHC staining of FFPE human breast cancer with PPA1 antibody at 1ug/ml. HIER: boil tissue sections in pH6, 10mM citrate buffer, for 10-20 min and allow to cool before testing.
 
- Submitted by
 - LSBio (provider)
 - Main image
 
- Experimental details
 - IHC staining of FFPE human breast cancer with PPA1 antibody at 1ug/ml. HIER: boil tissue sections in pH6, 10mM citrate buffer, for 10-20 min and allow to cool before testing.
 
- Submitted by
 - LSBio (provider)
 - Main image
 
- Experimental details
 - IHC staining of FFPE human intestinal cancer with PPA1 antibody at 1ug/ml. HIER: boil tissue sections in pH6, 10mM citrate buffer, for 10-20 min and allow to cool before testing.
 
- Submitted by
 - LSBio (provider)
 - Main image
 
- Experimental details
 - IHC staining of FFPE human lung cancer with PPA1 antibody at 1ug/ml. HIER: boil tissue sections in pH6, 10mM citrate buffer, for 10-20 min and allow to cool before testing.
 
- Submitted by
 - LSBio (provider)
 - Main image
 
- Experimental details
 - IHC staining of FFPE mouse brain with PPA1 antibody at 1ug/ml. HIER: boil tissue sections in pH6, 10mM citrate buffer, for 10-20 min and allow to cool before testing.
 
- Submitted by
 - LSBio (provider)
 - Main image
 
- Experimental details
 - IHC staining of FFPE rat brain with PPA1 antibody at 1ug/ml. HIER: boil tissue sections in pH6, 10mM citrate buffer, for 10-20 min and allow to cool before testing.