Antibody data
- Antibody Data
- Antigen structure
- References [0]
- Comments [0]
- Validations
- Western blot [1]
- Immunohistochemistry [1]
Submit
Validation data
Reference
Comment
Report error
- Product number
- GTX10133 - Provider product page

- Provider
- GeneTex
- Proper citation
- GeneTex Cat#GTX10133, RRID:AB_380887
- Product name
- VPS28 antibody, C-term
- Antibody type
- Polyclonal
- Reactivity
- Human
- Host
- Goat
No comments: Submit comment
Supportive validation
- Submitted by
- GeneTex (provider)
- Main image

- Experimental details
- GTX10133 staining (1?g/ml) of Human Testis lysate (RIPA buffer, 35?g total protein per lane). Primary incubated for 1 hour. Detected by western blot using chemiluminescence.
Supportive validation
- Submitted by
- GeneTex (provider)
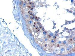
- Main image

- Experimental details
- GTX10133 (10?g/ml) staining of paraffin embedded Human Testis. Microwaved antigen retrieval with Tris/EDTA buffer pH9, HRP-staining.