Antibody data
- Antibody Data
- Antigen structure
- References [0]
- Comments [0]
- Validations
- Western blot [2]
- Immunocytochemistry [1]
- Immunohistochemistry [3]
- Other assay [1]
Submit
Validation data
Reference
Comment
Report error
- Product number
- UM500102CF - Provider product page

- Provider
- Invitrogen Antibodies
- Product name
- RAPGEF1 Monoclonal Antibody (UMAB140), UltraMAB™
- Antibody type
- Monoclonal
- Antigen
- Recombinant full-length protein
- Reactivity
- Human
- Host
- Mouse
- Isotype
- IgG
- Antibody clone number
- UMAB140
- Vial size
- 100 µg
- Concentration
- 1 mg/mL
- Storage
- -20° C, Avoid Freeze/Thaw Cycles
No comments: Submit comment
Supportive validation
- Submitted by
- Invitrogen Antibodies (provider)
- Main image

- Experimental details
- Western blot of cell lysates (35 µg) from 9 different cell lines (1: HepG2, 2: HeLa, 3: SV-T2, 4: A549. 5: COS7, 6: Jurkat, 7: MDCK, 8: PC-12, 9: MCF7).
- Submitted by
- Invitrogen Antibodies (provider)
- Main image

- Experimental details
- Western blot of cell lysates (35 µg) from 9 different cell lines (1: HepG2, 2: HeLa, 3: SV-T2, 4: A549. 5: COS7, 6: Jurkat, 7: MDCK, 8: PC-12, 9: MCF7).
Supportive validation
- Submitted by
- Invitrogen Antibodies (provider)
- Main image

- Experimental details
- Immunofluorescent staining of HeLa cells using anti-RAPGEF1 mouse monoclonal antibody (UM500102, green, 1:50). Actin filaments were labeled with Alexa Fluor 594 Phalloidin (red), and nuclear with DAPI (blue). Scale bar, 20µm.
Supportive validation
- Submitted by
- Invitrogen Antibodies (provider)
- Main image

- Experimental details
- Immunohistochemical staining of paraffin-embedded human lymph node tissue using anti-RAPGEF1 mouse monoclonal antibody. (UM500102, heat-induced epitope retrieval by 1 mM EDTA in 10mM Tris, pH8.0, 120°C for 3min)
- Submitted by
- Invitrogen Antibodies (provider)
- Main image

- Experimental details
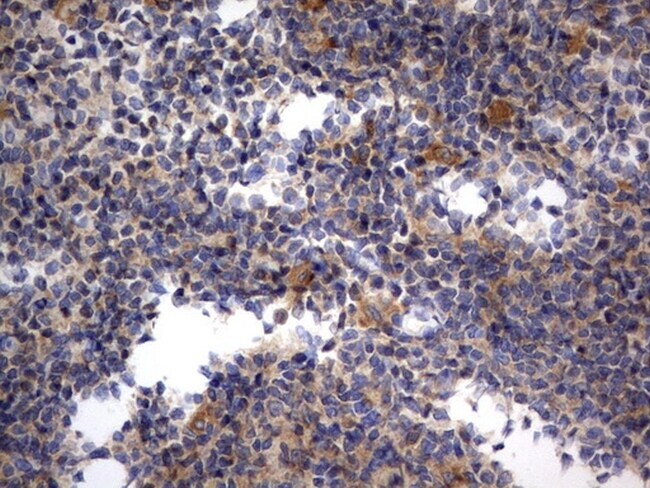
- Immunohistochemical staining of paraffin-embedded human lymphoma tissue using anti-RAPGEF1 mouse monoclonal antibody. (UM500102, heat-induced epitope retrieval by 1 mM EDTA in 10mM Tris, pH8.0, 120°C for 3min)
- Submitted by
- Invitrogen Antibodies (provider)
- Main image

- Experimental details
- Immunohistochemical staining of paraffin-embedded human tonsil using anti-RAPGEF1mouse monoclonal antibody. (UM500102, heat-induced epitope retrieval by 1 mM EDTA in 10mM Tris, pH8.0, 120°C for 3min)
Supportive validation
- Submitted by
- Invitrogen Antibodies (provider)
- Main image

- Experimental details
- OriGene overexpression protein microarray chip was immunostained with UltraMAB anti-RAPGEF1 mouse monoclonal antibody (UM500102). The positive reactive proteins are highlighted with two red arrows in the enlarged subarray. All the positive controls spotted in this subarray are also labeled for clarification.