Antibody data
- Antibody Data
- Antigen structure
- References [3]
- Comments [0]
- Validations
- Immunohistochemistry [1]
Submit
Validation data
Reference
Comment
Report error
- Product number
- A00120 - Provider product page

- Provider
- Boster Biological Technology
- Product name
- Anti-KLF4 Antibody Picoband™
- Antibody type
- Polyclonal
- Description
- Rabbit IgG polyclonal antibody for KLF4 detection. Tested with WB, IHC-P in Human;Mouse;Rat.
- Reactivity
- Human, Mouse, Rat
- Host
- Rabbit
- Vial size
- 100μg/vial
- Concentration
- 0.5-1mg/ml, actual concentration vary by lot. Use suggested dilution ratio to decide dilution procedure.
- Storage
- At -20°C for one year. After reconstitution, at 4°C for one month. It can also be aliquoted and stored frozen at -20°C for a longer time. Avoid repeated freezing and thawing.
- Handling
- Add 0.2ml of distilled water will yield a concentration of 500ug/ml.
Submitted references Cysteine and glycine rich protein 2 exacerbates vascular fibrosis in pulmonary hypertension through the nuclear translocation of yes-associated protein and transcriptional coactivator with PDZ-binding motif.
MicroRNA-92 regulates vascular smooth muscle cell function by targeting KLF4 during vascular restenosis and injury.
SC1 Promotes MiR124-3p Expression to Maintain the Self-Renewal of Mouse Embryonic Stem Cells by Inhibiting the MEK/ERK Pathway.
Chen X, Wei X, Ma S, Xie H, Huang S, Yao M, Zhang L
Toxicology and applied pharmacology 2022 Dec 15;457:116319
Toxicology and applied pharmacology 2022 Dec 15;457:116319
MicroRNA-92 regulates vascular smooth muscle cell function by targeting KLF4 during vascular restenosis and injury.
Deng S, Zhang Y, Wang Y, Lu X, Jiang Q
International journal of clinical and experimental pathology 2019;12(12):4253-4262
International journal of clinical and experimental pathology 2019;12(12):4253-4262
SC1 Promotes MiR124-3p Expression to Maintain the Self-Renewal of Mouse Embryonic Stem Cells by Inhibiting the MEK/ERK Pathway.
Wei Q, Liu H, Ai Z, Wu Y, Liu Y, Shi Z, Ren X, Guo Z
Cellular physiology and biochemistry : international journal of experimental cellular physiology, biochemistry, and pharmacology 2017;44(5):2057-2072
Cellular physiology and biochemistry : international journal of experimental cellular physiology, biochemistry, and pharmacology 2017;44(5):2057-2072
No comments: Submit comment
Supportive validation
- Submitted by
- Boster Biological Technology (provider)
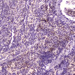
- Main image

- Experimental details
- IHC analysis of KLF4 using anti-KLF4 antibody (A00120).KLF4 was detected in paraffin-embedded section of rat small intestine tissue. Heat mediated antigen retrieval was performed in citrate buffer (pH6, epitope retrieval solution) for 20 mins. The tissue section was blocked with 10% goat serum. The tissue section was then incubated with 2μg/ml rabbit anti-KLF4 Antibody (A00120) overnight at 4℃. Biotinylated goat anti-rabbit IgG was used as secondary antibody and incubated for 30 minutes at 37℃. The tissue section was developed using Strepavidin-Biotin-Complex (SABC)(Catalog # SA1022) with DAB as the chromogen.
- Additional image
