Antibody data
- Antibody Data
- Antigen structure
- References [0]
- Comments [0]
- Validations
- Western blot [3]
- ELISA [1]
- Immunohistochemistry [2]
- Flow cytometry [1]
Submit
Validation data
Reference
Comment
Report error
- Product number
- NBP2-37282 - Provider product page

- Provider
- Novus Biologicals
- Product name
- Mouse Monoclonal Syndecan-1/CD138 Antibody
- Antibody type
- Monoclonal
- Description
- Protein A or G purified.
- Reactivity
- Human, Mouse
- Host
- Mouse
- Isotype
- IgG
- Vial size
- 0.1 ml
- Concentration
- 1 mg/ml
- Storage
- Store at 4C short term. Aliquot and store at -20C long term. Avoid freeze-thaw cycles.
No comments: Submit comment
Supportive validation
- Submitted by
- Novus Biologicals (provider)
- Main image

- Experimental details
- Western Blot: Syndecan-1/CD138 Antibody (1A3H4) [NBP2-37282] - Analysis using SDC1 mouse mAb against MCF-7 (1), Hela (2), HepG2 (3), T47D (4), SW620 (5), Jurkat (6) and NIH/3T3 (7) cell lysate.
- Submitted by
- Novus Biologicals (provider)
- Main image

- Experimental details
- Western Blot: Syndecan-1/CD138 Antibody (1A3H4) [NBP2-37282] - Analysis using SDC1 mAb against human SDC1 (AA: 28-171) recombinant protein. (Expected MW is 44.4 kDa)
- Submitted by
- Novus Biologicals (provider)
- Main image

- Experimental details
- Western Blot: Syndecan-1/CD138 Antibody (1A3H4) [NBP2-37282] - Analysis using SDC1 mAb against HEK293 (1) and SDC1 (AA: 28-171)-hIgGFc transfected HEK293 (2) cell lysate.
Supportive validation
- Submitted by
- Novus Biologicals (provider)
- Main image

- Experimental details
- ELISA: Syndecan-1/CD138 Antibody (1A3H4) [NBP2-37282] - Red: Control Antigen (100ng); Purple: Antigen (10ng); Green: Antigen (50ng); Blue: Antigen (100ng);
Supportive validation
- Submitted by
- Novus Biologicals (provider)
- Main image

- Experimental details
- Immunohistochemistry-Paraffin: Syndecan-1/CD138 Antibody (1A3H4) [NBP2-37282] - Analysis of ovarian cancer tissues using SDC1 mouse mAb with DAB staining.
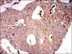
- Submitted by
- Novus Biologicals (provider)
- Main image

- Experimental details
- Immunohistochemistry-Paraffin: Syndecan-1/CD138 Antibody (1A3H4) [NBP2-37282] - Analysis of rectum cancer tissues using SDC1 mouse mAb with DAB staining.
Supportive validation
- Submitted by
- Novus Biologicals (provider)
- Main image

- Experimental details
- Flow Cytometry: Syndecan-1/CD138 Antibody (1A3H4) [NBP2-37282] - Analysis of HepG2 cells using SDC1 mouse mAb (green) and negative control (red).