Antibody data
- Antibody Data
- Antigen structure
- References [0]
- Comments [0]
- Validations
- Immunocytochemistry [2]
- Immunohistochemistry [1]
Submit
Validation data
Reference
Comment
Report error
- Product number
- PA5-55073 - Provider product page

- Provider
- Invitrogen Antibodies
- Product name
- ERAL1 Polyclonal Antibody
- Antibody type
- Polyclonal
- Antigen
- Recombinant protein fragment
- Description
- Immunogen sequence: SVLVMNKVDC LKQKSVLLEL TAALTEGVVN GKKLKMRQAF HSHPGTHCPS PAVKDPNTQS VGNPQRIGWP HFKEIFMLSA LSQEDVKTLK QY Highest antigen sequence identity to the following orthologs: Mouse - 74%, Rat - 73%.
- Reactivity
- Human
- Host
- Rabbit
- Isotype
- IgG
- Vial size
- 100 μL
- Concentration
- 0.1 mg/mL
- Storage
- Store at 4°C short term. For long term storage, store at -20°C, avoiding freeze/thaw cycles.
No comments: Submit comment
Supportive validation
- Submitted by
- Invitrogen Antibodies (provider)
- Main image

- Experimental details
- Immunofluorescent staining of ERAL1 in human cell line A-431 shows positivity in cytoplasm & mitochondria. Samples were probed using an ERAL1 Polyclonal Antibody (Product # PA5-55073).
- Submitted by
- Invitrogen Antibodies (provider)
- Main image

- Experimental details
- Immunofluorecent analysis of ERAL1 in human cell line A-431 using ERAL1 Polyclonal Antibody (Product # PA5-55073). Staining shows localization to cytosol and mitochondria.
Supportive validation
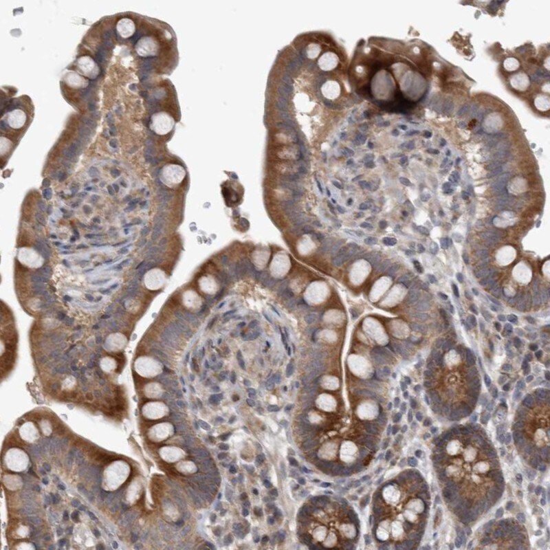
- Submitted by
- Invitrogen Antibodies (provider)
- Main image

- Experimental details
- Immunohistochemical analysis of ERAL1 in human colon using ERAL1 Polyclonal Antibody (Product # PA5-55073) shows strong cytoplasmic positivity in glandular cells.